Comprehensive Guide to Dental Veneers
Dental veneers are a form of cosmetic dentistry that effectively gives patients a cosmetically perfect tooth whenever they’re placed by an experienced dentist.
When done right, veneers are safe and effective at achieving desired results, but they’re not without disadvantages.
In this guide, we’ll cover some commonly asked questions about dental veneers so you’ll know what to expect before getting started on your journey to a brand new smile with veneers.


Pros & Cons of Veneers
Many celebrities opt for veneers, which are responsible for a lot of the perfect smiles you see on television and in movies.
At first, that might sound like the answer to your aesthetic dental concerns too. But there are pros and cons to consider. Dental veneers are not the best choice for everybody, and it is important for you to be well informed before choosing them, as they are not a reversible option.
Let’s take a good look at what dental veneers are, what they are made of, and how the fitting process means they are not reversible. We will discuss the advantages and disadvantages of veneers, leaving you with the knowledge you need to make the best decision for yourself.
What are dental veneers?
Dental veneers are very thin coverings, permanently bonded to the front of your teeth. They are normally used on just your front teeth only, and are colour matched to the rest of your teeth allowing them to blend in.
Veneers can be made of porcelain or a composite material, with pros and cons to both options, which we will cover here in depth.

The veneering process
To have veneers made for your teeth, you first need to have either a scan or a mould taken of the area. At No Frills Dental, we use iTero Elements 2 Intraoral scanning, which is quick and painless.
After scanning, you will need to sit in the dentist’s chair a couple of times to have the work completed. In your first session, we will prepare your teeth to receive your veneers.
The preparation work involves slightly shaving or trimming down the enamel on those teeth that are to receive the veneers. The enamel is shaved back by 0.5 to 1 millimetre, to allow space for the veneer to be cemented to each tooth. This is done on the front of the teeth, and a little in between where your teeth sit alongside each other, to allow a perfect fit.
This trimming or shaving is never done to the back of your teeth, which remain unaffected by the veneers.
At the end of the preparation, you will be fitted with temporary veneers to keep you comfortable while your permanent ones are being custom-made by the dental laboratory.
When you return for your second session a week or two later, you will have your permanent veneers bonded to your teeth with dental cement. Any minor corrections you need to the veneers will be made while you are there, and you will go home with your new smile.

Am I suitable for veneers?
Veneers may be suitable for you if you wish to perfect your smile, but you don’t need any structural damage fixed. For example, you may have staining, discolouration, or slightly crooked or uneven-looking teeth.
If you have generally good oral health and only require aesthetic improvement, then veneers can give you a wonderful confidence boost and a beautiful smile.
However, veneers are not suitable for everybody. If you have cracked or broken teeth, you may want to consider a more restorative dental procedure such as dental crowns. Veneers are an aesthetic solution, but do not offer structural support.
Good oral health is required to keep your teeth healthy, and support the longevity or your dental veneers. For this reason, people with periodontal disease may not be suitable candidates for veneers.
You may also not be a suitable candidate if you grind your teeth, as this is likely to cause constant damage to the veneers.

Are veneers permanent?
As you have just read, the fitting of veneers requires your tooth enamel to be shaved back. This leaves your teeth a little more exposed to sensitivity without the veneer in place.
Once you go through the process of having veneers fitted, you would not want to be without them. Your shaved teeth without the outer shell of the veneer may be sensitive, and may also not look how you want them to.
Veneers can be longwearing, especially when looked after correctly. But they do not last a lifetime. So have in mind that if you opt for veneers once, then you will need to maintain them and replace them in due course.
The lifespan of a veneer can range between 8 and 15 years, depending on the material and how you look after them. We will discuss this in more detail, with the other pros and cons below.
Porcelain Veneers
Porcelain veneers are the longer wearing of the two material types. For that reason, they are also the more expensive kind. Let’s look at the advantages and disadvantages of porcelain veneers.
Pros of Porcelain Veneers
- With good care, porcelain veneers last 10+ years. Even up to 15+ years with good oral hygiene, and if no damage occurs from biting hard food or from sporting injuries.
- Porcelain is highly resistant to staining, keeping the colour match with your own teeth good for longer.
- Aesthetically pleasing and visually undetectable – veneers have a very realistic look.
- Less invasive than other options such as dental crowns.
Cons of Porcelain Veneers
- Porcelain is the more expensive of the two material options.
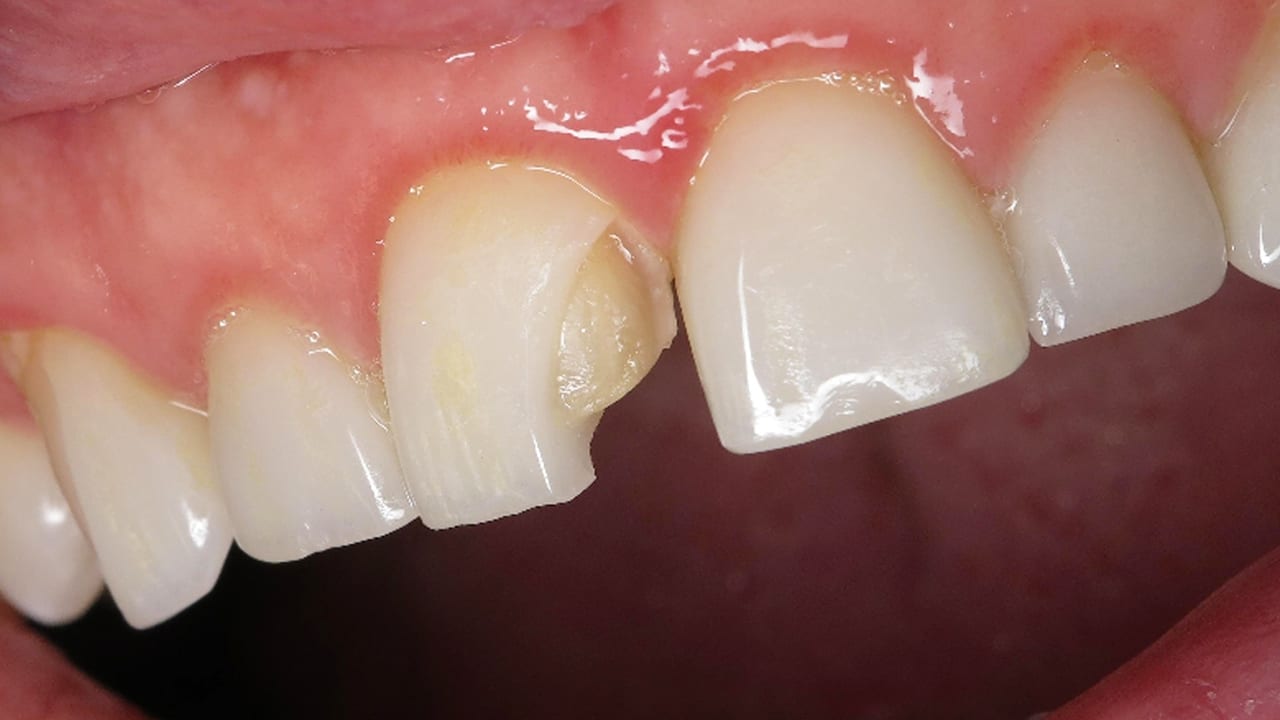
- Not repairable when damaged. Porcelain veneers must be fully replaced if chipped or cracked.
- Not suitable for everybody – people with damaged teeth or periodontal disease need to choose an alternative option.
- Veneers are not Medisave claimable.

Pros of porcelain veneers
- With good care, porcelain veneers last 10+ years. Even up to 15+ years with good oral hygiene, and if no damage occurs from biting hard food or from sporting injuries.
- Porcelain is highly resistant to staining, keeping the colour match with your own teeth good for longer.
- Aesthetically pleasing and visually undetectable – veneers have a very realistic look.
- Less invasive than other options such as dental crowns.

Cons of porcelain veneers
- Porcelain is the more expensive of the two material options.
- Not repairable when damaged. Porcelain veneers must be fully replaced if chipped or cracked.
- Not suitable for everybody – people with damaged teeth or periodontal disease need to choose an alternative option.
- Veneers are not Medisave claimable.
Composite Veneers
Whereas porcelain veneers are made from custom-made pieces of porcelain, composite veneers are made from a tooth coloured resin. Composite veneers are a less expensive option. But because of that, the trade off is that they have a shorter lifespan.
Pros of Composite Veneers
- More affordable in the short-term.
- When looked after you will get 4 to 8 years of wear from your composite veneers.
- Good aesthetic result, covering up stains and slightly crooked or misshapen teeth.
Cons of Composite Veneers
- Due to a shorter lifespan of 4 to 8 years, you will need to budget for replacements more often.
- The composite material is not as strong as porcelain, so it maybe more prone to chipping.

Pros of composite veneers
- More affordable in the short-term.
- When looked after you will get 4 to 8 years wear from your composite veneers.
- Good aesthetic result, covering up stains and slightly crooked or misshapen teeth.

Cons of composite veneers
- Due to shorter lifespan of 4 to 8 years, you will need to budget for replacements more often.
- The composite material is not as strong as porcelain, so may be more prone to chipping.
Porcelain vs Composite
There is one additional thing to know about composite veneers. Unlike with porcelain, there is a choice of application process.
You can have indirect composite veneers, made in a laboratory to custom fit you, based on a scan of your teeth. Or you can have direct composite veneers, where the material is applied directly to your teeth. This is quick and may require less shaving of your tooth enamel too.
However, the direct process generally gives a less hardwearing effect. If you choose indirect composite veneers, the way they are manufactured in the lab gives them a longer lifespan. This is worth taking into consideration.
Advantages of Dental Veneers
Speaking generally, whichever material you choose, veneers can improve the look of your teeth. They are a relatively simple and non-invasive option and require much less work than restorative dentistry work, such as dental crowns.
If you are looking for a quick fix to a discoloured or slightly crooked smile, then having veneers is faster than repositioning your teeth with Invisalign and then whitening your teeth afterwards.
Dental veneers are undetectable and are fixed in place. So they both look and feel like your natural teeth, which is a great confidence booster. Veneers can be a good choice if your problems are mainly aesthetic and confidence-related.
However, if you are not a suitable candidate for veneers, due to having deeper damage or grinding your teeth, then take a look at dental crowns as a possible alternative.
Disadvantages of Dental Veneers
If veneers are the right choice for you, then there is one major disadvantage to consider. This is the fact that veneers are a life-long commitment. Since this is a non-reversible procedure, once you have committed to veneers, you will need to keep up the maintenance and replacement of them.
If you chip or loosen a veneer, you won’t be comfortable living with that tooth exposed, since it was shaved back for your veneer to be fitted. So keep in mind that you will need to be prepared for future visits to the dentist for veneer replacements, and be ready for the costs associated with that.
As veneers are considered cosmetic dentistry, in most cases they will not be Medisave claimable.

Cost of Veneers
Let’s talk about those costs now, so you know what to budget for. In Singapore, porcelain veneers cost from $1000+ per tooth, varying a little based on the complexity of your case. With indirect composite veneers, you can expect to pay between from $250+ per tooth, depending on how complicated your case is. Direct composite veneers are the cheapest option, costing from $200 per tooth – but again prices vary a little due to complexity.
At No Frills Dental we have a $50 fee for our initial consultation, which is waived upon starting your treatment with us. In this consultation we will assess your suitability for dental veneers, which may involve having an Intraoral scan to render a 3D model of your affected teeth.
We will also discuss the veneer material options with you, to help you make a well-informed choice that best suits your lifestyle and requirements.

Alternatives to Veneers
If veneers are not your best option, then there are many other possible solutions to investigate. As previously mentioned, some people who initially consider veneers will opt for dental crowns instead.
Crowns are a good choice if your concerns are more than just the appearance of your teeth. If you have some structural damage, like cracks in your teeth, or very big fillings that have weakened your tooth, then a crown can offer the structural support you need, as well as the aesthetic improvement.
On the other hand, if your concerns are aesthetic only, but you don’t want an irreversible procedure like veneers, then there are other choices too. You might consider teeth whitening to brighten your smile. Or if your teeth are crooked, Invisalign might be an option for you to consider.
For more solutions, take a look at our Total Smile Makeover post here.

In Summary
Please feel free to call and talk through the options with us, or fill in the contact form on this page. We are always happy to advise you, and you should feel comfortable making your decision.
Veneers are an investment in your oral health, your overall confidence, and are also a long-term commitment. It is an important decision for you, and you should be well informed before making your choice.
The best dentist for you is one who will provide you with all the information, and help you to reach a well-informed decision that you are comfortable with. Good communication between you and your dentist is vital for a successful outcome.
In addition, please only proceed with the treatment if you are fully comfortable with the treatment plan proposed by your provider.
References
- ART Dentistry
https://artdentistrync.com/blog/a-cosmetic-dentist-explains-the-pros-and-cons-of-veneers/ - Doctor X Dentist
https://www.doctorxdentist.com/dental-veneers-singapore - Everyday Health
https://www.everydayhealth.com/dental-health/experts-pros-and-cons-of-veneers.aspx - Healthline
https://www.healthline.com/health/composite-veneers#summary - Web MD
https://www.webmd.com/oral-health/guide/veneers#1-4
Schedule an appointment
We’ll get back to you within 24 hours.
Our Dental Clinics
We are conveniently located at these locations:
NoFrills Dental @ Suntec City
3 Temasek Boulevard
Suntec City (North Wing)
#03-317
Singapore 038983
T: +65 6337 7319
E: suntec@https://testsite.nofrillsdental.com/.sg
NoFrills Dental @ Marina Square
6 Raffles Boulevard,
Marina Square,
#B1-11
Singapore 039594
T: +65 6227 8885
E: marinasquare@https://testsite.nofrillsdental.com/.sg
Related Posts

Zygomatic Dental Implants: An In-depth Guide
Zygomatic dental implants represent a revolutionary advancement in the field of dental implant surgery, providing a viable solution for individuals wi…

Transform Your Smile: The Guide to Full Mouth Rehabilitation with Dental Implants (2024)
Discover the path to a renewed smile and enhanced oral health through full mouth rehabilitation with dental implants—a dependable and aesthetically …

Pterygoid Dental Implants: An In-depth Guide
Dental implants have revolutionized the world of dentistry, offering solutions for patients with missing teeth. Tubero Pterygoid Dental Implants stand…
