dental veneers
Here’s everything you need to know about dental veneers in Singapore.


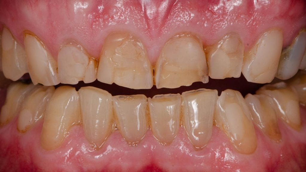
Veneers – What are they?
Veneers Explained | Benefits of Veneers | Types of Veneers | Veneer Process | Cost of Veneers
Dental veneers are thin pieces of dental porcelain or composite resin that’s adhered directly on the surface of teeth to ultimately improve the appearance of teeth. Veneers are typically used to replicate the natural look of teeth by covering the front of your teeth. They are fully customised to meet the needs and requirements of each patient.
Dental veneers are a quick, affordable and easy way to get a ‘perfect smile’. Veneers offer patients the option of concealing the imperfections of their teeth and drastically improving their smile in a matter of days. With the right maintenance protocols in place, dental veneers are typically able to last up to 10 years.
Dental veneers are a popular method of improving the appearance of teeth and overall smile. In case you have any concerns and worries about dental veneers, please feel free to give us a call.
Dental veneers have the ability to effectively address aesthetic outcome of these issues; gaps between teeth, chipped teeth, discoloured teeth, oddly shaped teeth and misaligned teeth by covering the misaligned teeth with veneers.
Dental Veneers Explained
Why Choose Dental Veneers?
Dental veneers are a quick, affordable and pain-free solution for patients who are looking to get a ‘perfect smile’. Veneers are used to improve the visual appearance of teeth. It can be used to mask problems such as developmental defects resulting in patchy teeth, oddly shaped teeth, or discoloured teeth, among others.
Nowadays, full sets of veneers are used to create a bright smile with straight and white teeth. Many A-list Hollywood celebrities opt for this procedure as it gives them a set of white and flawless teeth and can also mask minor misalignments.
Veneers can address these aesthetic issues:

Discoloured Teeth
Some common causes of the staining of teeth include; coffee drinking, smoking and eating dark coloured food. These kind of stains can be removed through the use of teeth whitening treatment and don’t usually require dental veneers.
However, patients who suffer from permenant tooth discolouration resulting from trauma, root canal treatment or tetracycline staining will require dental veneers in order to cover/conceal these permenant stains and help improve the overall aesthetic appearance of affected teeth.

Chipped Teeth
When a patient chips their teeth, they usually have 3 options when it comes to restoring the aesthetic & structural appearance of the affected teeth; dental filling, dental crowning or dental veneering.
Depending on the severity of the broken teeth, your dental provider will advice you on the best treatment for your case.
However, dental veneering or crowning will typically result in a more aesthetically pleasing final result when compared to dental filling.

Gapped Teeth
Spacing issues can usually be resolved through the use of orthodontic treatment such as Invisalign and braces, or through dental veneers.
Depending on the severity of the gap, your dentist will recommend the best treatment option for your case.
For patients with high aesthetic requirements, it may be necessary to utilise both orthodontics and dental veneers to provide patients with a highly aesthetic final result that is in-line with the patient’s expectations.

Discoloured Teeth
Some common causes of the staining of teeth include; coffee drinking, smoking and eating dark coloured food. These kind of stains can be removed through the use of teeth whitening treatment and don’t usually require dental veneers.
However, patients who suffer from permenant tooth discolouration resulting from trauma, root canal treatment or tetracycline staining will require dental veneers in order to cover/conceal these permenant stains and help improve the overall aesthetic appearance of affected teeth.

Chipped Teeth
When a patient chips their teeth, they usually have 3 options when it comes to restoring the aesthetic & structural appearance of the affected teeth; dental filling, dental crowning or dental veneering.
Depending on the severity of the broken teeth, your dental provider will advice you on the best treatment for your case.
However, dental veneering or crowning will typically result in a more aesthetically pleasing final result when compared to dental filling.

Gapped Teeth
Spacing issues can usually be resolved through the use orthodontic treatment such as Invisalign and braces, or through dental veneers.
Depending on the severity of the gap, your dentist will recommend the best treatment option for your case.
For patients with high aesthetic requirements, it may be necessary to utilise both orthodontics and dental veneers to provide patients with a highly aesthetic final result that is in-line with the patient’s expectations.
What Are The Different Types of Dental Veneers?
Dental veneers make an excellent option for patients looking for a smile makeover or to fix some aesthetic issues with their smile. There are two common types of dental veneers available in Singapore; porcelain/ceramic and composite. Depending on your needs and requirements, your dentist will recommend the best veneer to meet your needs. Read below to learn about the differences between each type.

Porcelain/Ceramic Dental Veneers
Porcelain/ceramic dental veneers are custom-made thin shells of porcelain permanently cemented to the outer-surface of the tooth. Each dental veneer is customised to match the size, shape and colour of your teeth.
Porcelain veneers are:
- not reversible
- highly resistant to staining
- more durable than composite veneers
- not repairable when damaged and must be replaced
- considered to be aesthetically superior when compared to composite veneers
- able to last between 10 – 15 years with proper care & maintenance
- more expensive than composite veneers and require a longer time to be fabricated before placement on teeth – full procedure typically requires at least 2 visits to the dentist; one to prepare the teeth, second one to fit and place the veneers

Composite Dental Veneers
Composite dental veneers are commonly made from dental plastics or composite resin that is affixed to the outer-surface of teeth. Unlike porcelain veneers, composite veneers are reversible and typically only take a single visit to get done. The composite resin is added to the outer-surface of your teeth, cured and then polished. Patients will then walk out the same day with a brand new smile.
Composite veneers are:
- reversible as only minimal preparation work is done to natural teeth, unlike porcelain veneers
- are prone to staining and discolouration like natural teeth
- not as durable as porcelain veneers
- repairable when damaged
- able to last between 4 – 8 years with proper care & maintanance
- cheaper than porcelain veneers

Porcelain Dental Veneers
Porcelain/ceramic dental veneers are custom-made thin shells of porcelain permanently cemented to the outer-surface of the tooth. Each dental veneer is customised to match the size, shape and colour of your teeth.
Porcelain veneers are:
- not reversible
- highly resistant to staining
- more durable than composite veneers
- not repairable when damaged and must be replaced
- considered to be aesthetically superior when compared to composite veneers
- able to last between 10 – 15 years with proper care & maintenance
- more expensive than composite veneers and require a longer time to be fabricated before placement on teeth – full procedure typically requires at least 2 visits to the dentist; one to prepare the teeth, second one to fit and place the veneers

Composite Dental Veneers
Composite dental veneers are commonly made from dental plastics or composite resin that is affixed to the outer-surface of teeth. Unlike porcelain veneers, composite veneers are reversible and typically only take a single visit to get done. The composite resin is added to the outer-surface of your teeth, cured and then polished. Patients will then walk out the same day with a brand new smile.
Composite veneers are:
- reversible as only minimal preparation work is done to natural teeth, unlike porcelain veneers
- are prone to staining and discolouration like natural teeth
- not as durable as porcelain veneers
- repairable when damaged
- able to last between 4 – 8 years with proper care & maintanance
- cheaper than porcelain veneers
Dental Veneering Process

Initial Consultation
During the initial dental consultation your dentist will assess your suitability for dental veneering after outlining your concerns and goals.
The dentist will then determine the best shape and shade of the veneers to ensure that they fit your smile perfectly. Lastly, the dentist will also address any questions that you may have and even discuss other treatment options that are available.
An initial treatment plan will be proposed at the end of the consultation and the costs involved with treatment are discussed on the spot.

Preparation of Teeth
After approval of the treatment plan, impressions of your teeth and pre-operative photos of your smile are taken.
Each treated tooth will be then individually prepared, after which, a mold of your teeth will be made based on the desired shape and size of the veneers. The design of the veneers will be presented to you and any adjustments are made on the spot.
Once you are happy with the design of the veneers, a temporary set of veneers will be fitted onto prepared teeth while the moulds and impressions are sent to a dental lab for the manufacturing of veneers.

Placement of Veneers
Generally, dental veneers will need 7 – 10 working days for the manufacturing process. After the veneers have arrived back in our clinic, your dentist will thoroughly clean your prepared teeth before removing the temporary veneers.
After which, the final custom-made veneers are placed and checked in the mouth. Minor adjusts to the final veneers can still be made at this point.
Once you are satisfied with the veneers, the final restorations will be permanently bonded to your teeth and you’ll be ready to show the world your brand new smile.

Initial Consultation
During the initial dental consultation your dentist will assess your suitability for dental veneering after outlining your concerns and goals.
The dentist will then determine the best shape and shade of the veneers to ensure that they fit your smile perfectly.
Lastly, the dentist will also address any questions that you may have and even discuss other treatment options that are available.An initial treatment plan will be proposed at the end of the consultation and the costs involved with treatment are discussed on the spot.

Preparation of Teeth
After approval of the treatment plan, impressions of your teeth and pre-operative photos of your smile are taken
Each treated tooth will be then individually prepared, after which, a mould of your teeth will be made based on the desired shape and size of the veneers. The design of the veneers will be presented to you and any adjustments are made on the spot.
Once you are happy with the design of the veneers, a temporary set of veneers will be fitted onto prepared teeth while the moulds and impressions are sent to a dental lab for the manufacturing of veneers.

Placement of Veneers
Generally, dental veneers will need 7 – 10 working days for the manufacturing process. After the veneers have arrived back in our clinic, your dentist will thoroughly clean your prepared teeth before removing the temporary veneers.
After which, the final custom-made veneers are placed and checked in the mouth. Minor adjustments to the final veneers can still be made at this point.
Once you are satisfied with the veneers, the final restorations will be permanently bonded to your teeth and you’ll be ready to show the world your brand new smile.
Cost of Veneers in Singapore
At NoFrills Dental, we pride ourselves on providing patients with high-quality dental care at affordable prices.
The cost of tooth bonding and dental veneers at NoFrills Dental ranges from $600 – $1,300+ per tooth (before GST), depending on the complexity of the case and the type of material used to create the dental veneers.
This price includes all dental impressions required, designing of the dental veneers and temporary dental veneers.
When our patients come in for an initial veneer consultation, a ‘one-time‘ fee of $50 (waived if patient decides to proceed with dental veneers treatment) will be charged for a oral health analysis and dental veneer suitability analysis.
At this stage, no other fees will be collected until the patient decides to proceed with treatment.
Flexible payment plans & instalment plans are available to patients. Contact our clinical support team to learn more.
Cost of Dental Veneers per Tooth:
$600 – $1300+
| First Payment (Initial Consultation) |
$50 |
| Second Payment (Veneer Preparation) |
$300 – $550 |
| Third Payment (Placement of Final Veneers) |
$300 – $750 |
*All prices indicated excludes 7% GST
**Prices quoted do not include other dental treatments such as extractions, retainers, fillings, and cleaning
*** Flexible payment plans are available
FAQs About Veneers
Here are some of the commonly asked questions that our dentists get from patients on dental veneers.
What is the difference between dental bonding and dental veneers?
Dental veneers are fully customised dental restoration which made to look like a entire natural tooth in order to close gaps between teeth or alter the colour/shape/size of your teeth. Dental veneers can be made of composite resin or out of porcelain. Whereas dental bonding utilises composite resin to restore only the missing part of your tooth or to change colour of a particular part of a tooth.
Are dental veneers permanent?
No, dental veneers are not permanent and typically have a lifespan that averages between 10-15 years with good care and oral hygiene. However, once dental veneers come to the end of their lifespan, or get damaged, patients will need to get them replaced, as the process of preparing teeth for dental veneers is permanent and irreversible.
What are the cons of dental veneers?
When it comes to dental veneers, there are 3 main downsides to getting dental veneers that patients must understand before getting dental veneers.
- The trimming of teeth during the tooth preparation process is usually required in order for the dental veneers to properly bond to teeth – As such, the process of getting teeth prepared for veneers is a permanent and irreversible procedure, once patients get dental veneers, they’ll need to properly maintain their veneers and replace them when they get damaged or come to the end of their lifespan.
- Dental veneers can break or chip when patients bite into hard things (chicken bones, crab claws, bottle caps, etc.) when eating. Patients should avoid biting onto hard objects or foods when eating.
- Veneers are not permenant. They have a lifespan that averages between 10 – 15 years. This lifespan may increase or decrease depending patient’s oral health and eating habits.
Are dental veneers Medisave claimable?
Unfortunately, dental veneers are not MediSave claimable as the procedure is generally considered as an elective and purely aesthetic procedure. MediSave guidelines dictate that only surgical procedures such as wisdom tooth surgeries or dental implants can be claimed.
Veneers vs Crowns
There’s plenty of confusion among patients when it comes to choosing to opt for crowns or veneers. Both tooth restorations offer patients an aesthetic final outcome when done by a seasoned practitioner.
Generally, veneers can be considered to be the more cosmetic option while crowns are the all-rounded option that restores both the function and appearance of teeth.
We have a dedicated article that dives deep into the differences between dental veneers and crowns.
How do I properly maintain & take care of my veneers?
When it comes to veneer maintenance, we generally prescibe patients with these 3 guidelines to follow:
- Adhere to proper oral hygiene practices – Maintain good oral hygiene by brushing and flossing daily, and visit the dentist once every 6 – 8 months for a professional scaling & polishing
- Avoid drinking teeth staining drinks – Your natural teeth will still get stained when you consume beverages containing staining agents such as coffee, tea and wine. Dental veneers are highly resistant to staining which can result in inconsistency between the colour of your natural teeth and your dental veneers.
- Avoid toothpaste that contain large particles when brushing yor teeth – These abrasive types of toothpaste may scratch and damage your dental veneers.
Who is a good candidate for dental veneers
Generally, most people with a healthy set of teeth and gums can opt for dental veneers if they’re concerned about the look of their teeth or overall smile.
At NoFrills Dental, we mainly see patients who want to correct an existing issue.
For example, we see patients with crooked or misaligned teeth that don’t wish to undergo orthodontic treatment such as braces or Invisalign, some patients who don’t like the colour of their teeth and want a more permanent and long-lasting solution, other patients who have chipped front teeth or greyish front teeth from prior trauma.
The ideal candidate for veneers should be someone with good oral hygiene.
Can veneers fall off?
Although infrequent, dental veneers can ‘fall-off’ when they de-bond or break. Fret not, in most cases, our dentists will be able to re-cement or replace the damaged dental veneers.
Are getting dental veneers painful?
The dental veneering process is not exactly a pain-free process, which is why local anaesthesia is used throughout the entire treatment process.
Bonding sensitivity occurs in about 50% of patients who undergo dental veneers, which can cause increased tooth sensitivity for the first 7 days after getting dental veneers placed. As such, Ibuprofen will usually be prescribed to combat the pain and sensitivity.
However, any pain or sensitivity experienced post-treatment is only temporary and should subside after a week or so.
Am I a suitable candidate for veneers?
Generally, patients looking to get dental veneers should be in good overall health with a healthy set of gums and teeth. Any existing oral health issues such as active gum disease, tooth decay should be taken cared-of prior to the placement of dental veneers.
Patients with poor oral health SHOULD NOT get dental veneers.
If you’re looking to get started on your smile transformation with dental veneers. We have a dedicated article that dives into the pros and cons of getting dental veneers.
Schedule an appointment
We’ll get back to you within 24 hours.
Our Dental Clinics
We are conveniently located at these locations:
NoFrills Dental @ Suntec City
3 Temasek Boulevard
Suntec City (North Wing)
#03-317
Singapore 038983
T: +65 6337 7319
E: suntec@https://testsite.nofrillsdental.com/.sg
NoFrills Dental @ Marina Square
6 Raffles Boulevard,
Marina Square,
#B1-11
Singapore 039594
T: +65 6227 8885
E: marinasquare@https://testsite.nofrillsdental.com/.sg
Other Dental Services
Here are some other services related to Dental Veneers that you might be interested in


