wisdom tooth
surgery & extraction
Here’s everything you need to know about wisdom tooth surgery in Singapore

Wisdom Tooth Extraction in Singapore
At NoFrills Dental, our dentists usually advise our patients to remove their wisdom teeth if they are present and impacted. Impacted wisdom teeth are teeth at the back of the mouth that do not have sufficient room to emerge or develop properly.
This results in wisdom teeth that may only be partially erupted from the gums (partially impacted), or in more severe cases, teeth may never break through the gums (fully impacted).
Our dentists usually remove impacted wisdom teeth that cause pain or other dental complications. However, we also recommend removing impacted wisdom teeth even if they are not currently symptomatic to prevent future oral health problems.
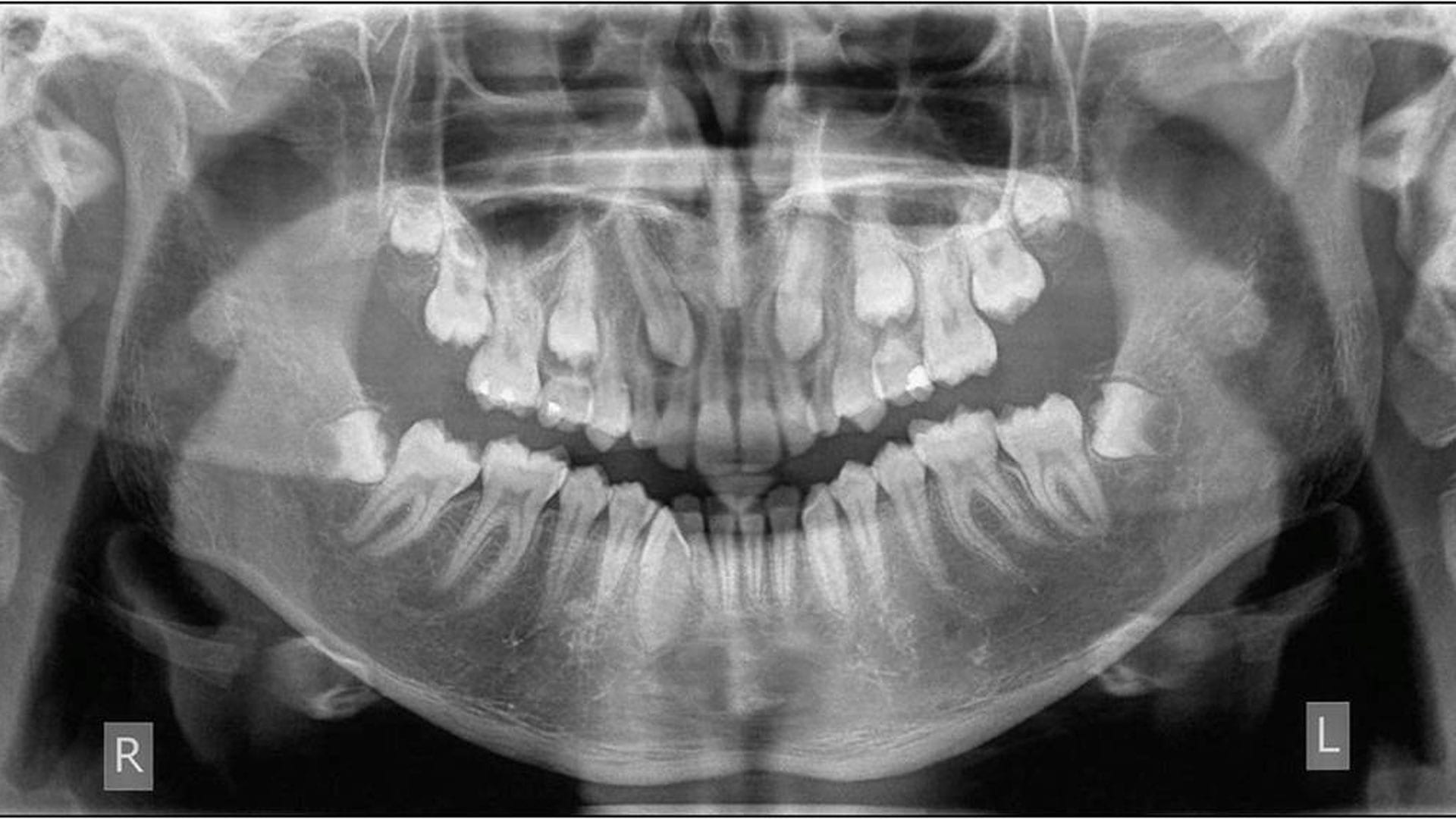
What are Wisdom Teeth?
Generally, most fully-grown adults have a set of 32 permanent teeth; 16 on the upper jaw, 16 on the lower jaw. The third molars on each jaw are also known as wisdom teeth. Wisdom teeth generally erupt in people between the age of 16 and 21.
Why Remove Impacted Wisdom Teeth?
Impacted wisdom teeth can result in other dental problems and even cause severe pain or damage to other teeth. In many cases, impacted wisdom teeth cause plaque build up as they are difficult to clean. If left untreated impacted wisdom teeth can increase the risk of developing gum disease and tooth decay. As such you’ll need to remove them before they become a problem.
Other reasons why you may need to remove your wisdom teeth include:

Damage to Other Teeth
Impacted wisdom teeth can push onto surrounding teeth, causing severe mouth pain. In serious cases, impaction may even lead to bite issues.

Jaw Damage & Cysts
Dental cysts can form around the impacted wisdom teeth. If wisdom teeth are not removed, this can result in jaw and damage nerves.

Inflamed Gums & Teeth
Soft gum tissue around the impacted wisdom tooth can become inflamed and start to swell. This infection can create pockets between teeth causing tooth decay.

Affect Teeth Alignment
Impacted wisdom teeth can cause problems with a person’s bite as impacted wisdom teeth push onto surrounding teeth. In situations like these, orthodontic treatment to straighten affected teeth may become necessary.

Affect Teeth Alignment
Impacted wisdom teeth can cause problems with a person’s bite as impacted wisdom teeth push onto surrounding teeth. In situations like these, orthodontic treatment to straighten affected teeth may become necessary.

Damage to Other Teeth
Impacted wisdom teeth can push onto surrounding teeth, causing severe mouth pain.

Jaw Damage & Cysts
Dental cysts can form around the impacted wisdom teeth. If wisdom teeth are not removed, this can result in jaw and damage nerves.

Inflamed Gums & Teeth
Soft gum tissue around the impacted wisdom tooth can become inflamed and start to swell. This infection can create pockets between teeth causing tooth decay.
The severity of the impaction is the primary determining factor when it comes to deciding whether or not a wisdom tooth needs to be removed. For patients suffering from a fully impacted wisdom tooth, dentist would typically recommend removing the wisdom tooth to prevent future complications.
It’s important to note that the lack of pain does not indicate a clean bill of oral health with no underlying dental issues. We recommend patients to take a panoramic x-rays at least once every 5 years to identify any underlying issues as early as possible, including impacted wisdom teeth.
Wisdom Tooth Removal Process

Initial Consultation
Your dentist will conduct a thorough analysis of your oral health in order to examine the type of impaction that you may have, to determine if surgery is required. After which, your dentist will lay out a basic treatment plan and explain the entire wisdom tooth removal process to you in detail before proceeding further.

Non-Surgical Wisdom Tooth Extraction
A wisdom tooth extraction is usually reserved for upper wisdom teeth that are not impacted. This procedure will be conducted under local anaesthetic, to ensure that patients do not feel any pain during the removal process.

Wisdom Tooth Surgery
A wisdom tooth surgery is required to remove teeth that are impacted and/or partially/fully erupted. This procedure will be conducted under local anaesthesia, sedation or general anaesthesia. The time taken to extract the tooth depends upon its size and position. Once the wisdom teeth are completely extracted, our professionals will replace the tissue and positioned with the help of dissolvable stitches. The tissue automatically heals within a one-to-two week period.

Initial Consultation
Your dentist will conduct a thorough analysis of your oral health in order to examine the type of impaction that you may have, to determine if surgery is required. After which, your dentist will lay out a basic treatment plan and explain the entire wisdom tooth removal process to you in detail before proceeding further.

Wisdom Tooth Surgery
A wisdom tooth surgery is required to remove teeth that are impacted and/or partially/fully erupted. This procedure will be conducted under local anaesthesia, sedation or general anaesthesia. The time taken to extract the tooth depends upon its size and position.

Wisdom Tooth Extraction
A wisdom tooth extraction is usually reserved for upper wisdom teeth that are not impacted. This procedure will be conducted under local anaesthetic, to ensure that patients do not feel any pain during the removal process.
Step-by-Step Guide:

Anaesthesia is Administered
For most wisdom tooth extractions, local anaesthesia will be used to ensure that patient do not feel any pain throughout the surgical procedure.

Wisdom Tooth Exposed & Removed
After ensuring that the right amount of anaesthesia has been administered and given enough time to activate. The dentist will then proceed to surgically expose the impacted tooth before removing it.

Stitching of Gums
After the wisdom tooth has been removed, the dentist will then proceed to stitch the up incision used to extract the tooth. After this step, pain medication will be prescribed to control any post surgery pain.

Anaesthesia is Administered
For most wisdom tooth extractions, local anaesthesia will be used to ensure that patient do not feel any pain throughout the surgical procedure.

Wisdom Tooth is Removed
After ensuring that the right amount of anaesthesia has been administered and given enough time to activate. The dentist will then proceed to surgically expose the impacted tooth before removing it.

Stitching of Gums
After the wisdom tooth has been removed, the dentist will then proceed to stitch the up incision used to extract the tooth. After this step, pain medication will be prescribed to control any post surgery pain.

What to Do After Wisdom Teeth Surgery
Patients may experience some minor bleeding after their wisdom tooth surgery, which can be controlled by biting on some gauze (provided to you after your surgery). Moreover, adequate rest is necessary for the remainder of the day. You will be provided up to 5 days of medical leave for recovery from the surgery.
During the first week after surgery, patients should avoid the following:
- Sucking on liquids through a straw
- Spitting
- Strenuous exercise
- Drinking of sugary carbonated beverages.
During the healing process, a blood clot will form in the tooth socket where the wisdom tooth was removed, patients should avoid strenuous activities to prevent this blood clot from dislodging, exposing bone and nerves. This condition is called dry socket. In the case that you experience any severe pain after your wisdom tooth surgery, contract your dentist immediately.

Post-surgery Pain Management
Most patients typically experience some pain and minor swelling over the next 24 – 72 hours. This pain and swelling can be mitigated through the use of painkillers. Moreover, placing an icepack on the affected areas in intervals of 5 – 10 minutes can help to reduce the pain during the first 18 hours after the wisdom tooth surgery.
In order to relieve the pain, your dental surgeon will prescribe some pain medication that may cause nausea. As such, it is highly recommended that patients refrain from strenuous activities and drink plenty of water.

The Road to Recovery
It typically takes about 3 – 5 days to recover from wisdom tooth surgery. During this period, patients should take extra care when it comes to maintaining their oral hygiene to avoid infection.
Make sure to do the following to prevent infections
- Brush after every meal, using a soft toothbrush to clean all areas of the mouth except the wound
- Rinse frequently with antibacterial mouthwash
- Eat prescribed antibiotics as directed
In the case that you experience any complication such as severe plain, swelling or bleeding after your surgery. Contact your dental clinic immediately or visit your nearest A&E clinic.

Cost of Wisdom Tooth Surgery in Singapore
Wisdom Tooth Extraction Singapore – At NoFrills Dental, we aim to provide patients with high-quality dental services while maintaining affordable prices for the masses.
With this in mind, we’ve priced our wisdom tooth extraction costs to cater to the different needs and budgets to each and everyone of our patients.
Wisdom tooth extraction
The cost of a non-surgical wisdom tooth extraction ranges between $150 – $350 at NoFrills Dental, depending on the complexity of the removal. (Not Medisave claimable)
Surgical wisdom tooth extraction
The cost of wisdom tooth surgery ranges between $950 – $1250 at NoFrills Dental, depending on the complexity of the surgery. (Medisave Claimable) Medisave can be used to pay for wisdom tooth surgery. Claimable up to S$950 per tooth.
If you’d like to know more about wisdom tooth removal, you can read our comprehensive guide on wisdom tooth surgeries and extractions in Singapore where we dive deep into the topic.

MediSave for Wisdom Tooth Surgery
1) Patients with at least $2,000 in their MediSave account.
You’ll only be required to pay the difference between the Medisave claimable amount and the total amount payable for the wisdom tooth surgery.
Here’s an example of the payment scheme with Medisave works for wisdom tooth surgery:
| Cost of Wisdom Tooth Surgery | $1,250 |
| Claimable amount from MediSave | $950 |
| Difference to be paid | $300 |
2) Patients with Less than $2,000 in their MediSave account.
For patients with less than $2,000 in their MediSave account, the full invoice billed for the wisdom tooth surgery will be collected upfront. A MediSave claim will be processed concurrently with a cheque made payable to you being issued. The entire process will take 2 months to complete.
3) Patients with No MediSave account.
If you do not have a MediSave account, you have 2 options:
Option 1: Pay using a 0% interest credit card instalment plan. Payment will be spread out over 12 months.
Option 2: Use your immediate family’s MediSave account to pay for your surgery. This includes your siblings, parents, grandparents, spouse or children.
Why Choose NoFrills Dental

Fully Equipped With X-Rays
Our dental clinics are fully equipped with X-ray imaging equipment to accurately diagnose wisdom tooth impaction prior to surgery in order to provide our patients with a seamless and hassle-free experience.

MediSave Accredited
NoFrills Dental is a MediSave Accredited clinic. As such, patients who proceed with wisdom tooth surgery at NoFrills Dental can pay for their surgery through their MediSave.
Each surgical extraction is MediSave claimable up to S$950 per tooth

Experienced Dentists
Our team of experienced dentists are fully dedicated to providing patients with high-quality and affordable dental care.
Our dentists are well-versed in dental surgery and highly adept at providing patients with satisfactory results.
Frequently Asked Questions
Commonly asked questions about Wisdom Tooth Extractions
How many days of MC will I be issued after a wisdom tooth surgery?
Depending on your dentist, most patients will typically be given 5 days of MC after a wisdom tooth surgery. If multiple teeth are removed in a single sitting, more days will be given if required.
Do I need to remove my wisdom teeth before starting Invisalign or braces treatment?
The removal of wisdom teeth before any orthodontic treatment is highly dependant on the current condition of your teeth and the treatment plan your dentist has laid out for you.
Generally wisdom teeth only need to be removed if they become impacted, cause pain or obstruct the movement of teeth if not removed.
Additionally, patients who have fully erupted, well positioned and healthy wisdom teeth will not need to have them removed for orthodontic treatment. In some cases, the wisdom teeth may even be used as an anchor to help align other teeth during orthodontic treatments such as Invisalign or braces.
I’m a full-time NSF looking to have my wisdom teeth removed, where can I have it done?
As a full-time NSF, the surgical removal of wisdom teeth is part of your NSF medical benefits. In essence, the procedure is fully covered by your medical benefits. We have a separate article that discusses getting your wisdom teeth removed while serving National Service.
Must I remove my wisdom teeth?
Wisdom teeth should be removed when they are impacted, decayed or causing you pain/discomfort.
We have a separate article discussing the necessity of wisdom tooth surgery and when it’s necessary.
How long does a wisdom tooth removal take?
Non-surgical wisdom tooth extraction typically take about 30 minutes to complete per tooth.
Wisdom tooth surgeries, will take between 30 mins – 60 mins per tooth. Depending on the complexity of the surgery.
How long will post surgery pain last?
Post surgery pain from a wisdom tooth surgery will typically last around 24 – 72 hours.
Pain medicine will prescribed to all patients after their surgery, this medicine should be taken as prescribed by the dentist, and not only after feeling the pain.
