Invisalign vs Veneers

Invisalign and Dental Veneers are two very different forms of dental treatment that patients usually compare before getting onboard with either system. Both treatments fall under the scope of aesthetic dentistry, but have very different use cases and final outcomes.

Understanding which treatment is best suited for your case will ultimately decide the long-term success of your treatment.

Invisalign vs Veneers in Singapore | Which is better?

Invisalign or Dental Veneers?

When it comes to getting a ‘perfect’ smile through aesthetic dentistry in Singapore, there are many options that patients can to choose from, but for most patients it typically boils down to a choice between Invisalign and dental veneers.

Both Invisalign and dental veneers offer patients a solution to improve their teeth and smile by correcting and enhancing the appearance of teeth. However, both systems are drastically different in the way that they work.

Which treatment is best suited for me? This question can only be answered after a thorough analysis of your smile and teeth. Depending on the current state of your teeth, oral health, ‘smile’ goals and lifestyle, your dentist will recommend the right treatment which is best suited to your needs and requirements.

In this article, we’ll give you a no-frills breakdown of the pros and cons of both Invisalign and dental veneers, so you can better understand each treatment before starting on your journey to a new and improved smile.

Overview of Both Types of Treatments

Getting Dental Veneers in Singapore

Dental Veneers

Dental Veneers are thin sheets of porcelain or composite resin that are bonded directly onto the outer surface of front teeth. They are fully customised to meet the needs and requirements of each unique patient. The main purpose of getting dental veneers would be to improve the appearance of an existing tooth by changing the colour, size, shape and texture of the tooth. Dental veneers can also be used to cover up cracks or chips on a tooth, close gaps between teeth as well as mask mild teeth misalignments.

Dental veneers are a quick and easy way for patients to achieve a ‘perfect smile’ by essentially covering the outer surfaces of front teeth, concealing imperfections or aesthetic concerns. This provides patients with an improved and highly aesthetic final outcome when done by a skilled dental practitioner.

Invisalign Treatment in Singapore

Invisalign Treatment

Invisalign is a form of orthodontic treatment which is used to help patients straighten their teeth and improve their smile. Invisalign is the virtually invisible alternative to conventional braces as it does not require any arch wires or orthodontic brackets. This system uses a series of customised BPA-free plastic clear aligners to shift teeth.

Invisalign can be used to correct a wide range of orthodontic issues such as; Overbite, Underbite, Gapped Teeth, Crowded Teeth, Open Bite and Crossbite. Invisalign straightens your teeth over time through fully customised aligners which are removable and invisible. These clear aligners are comfortable and fit your teeth perfectly. With each change of aligners, the teeth gradually shift and adjust to the new position effortlessly.

Pros Getting Dental Veneers

Lady smiling with her brand new dental veneers

Fast & Effective Solution

The entire dental veneering process typically only takes two to three visits to the dentist to complete. The veneering process can be broken down into several stages

  • Initial Consultation – First Visit
  • Tooth Preparation – First/Second Visit
  • Veneer Fabrication- First/Second Visit
  • Veneer Placement – Second/Third Visit

The entire veneering process from start to finish can usually be completed within 3 weeks. Whereas orthodontic solutions such as Invisalign require up to 18 months to fully correct a smile.

Dental veneers concealing multiple dental issues

Conceals Multiple Dental Issues At Once

Dental veneers are a form of cosmetic dentistry that provide patients with the option of addressing a variety of aesthetic concerns through a single solution. Dental veneers are attached directly onto the outer front surfaces of front teeth, they can help patients to conceal and camouflage minor misalignments in teeth, gaps between two or more teeth, discoloured teeth and even cracked or chipped front teeth. 

Depending on the severity of malocclusion, your dentist may still recommend orthodontic treatment such as Invisalign or metal braces instead of placing dental veneers. 

young man getting his teeth checked for the right tooth shade before getting dental veneers

Long Term Teeth Whitening Solution

Dental veneers provide patients with a long term solution when it comes to whitening their teeth. Years of coffee drinking and smoking cigarettes can take a heavy toll on teeth, causing them to become severely discoloured into an unattractive shade of yellow or brown. Stained teeth can be bleached at home or by your dentist through in-clinic chairside whitening solutions, but they will eventually become  stained again.

For patients looking for a convenient and long term solution for a white, bright and radiant smile, veneers may be the right choice for them. Dental veneers are highly stain resistant, and tend to stay the shade of white throughout their lifespan, removing the need for patients to constantly bleach their natural teeth.

Happy asian woman smiling with her dental veneers years after getting dental veneer treatment

Long Lasting Solution

Dental veneers are very long lasting; while they are not permanent, with the correct maintenance and care. Dental veneers have been known to last for a very long time. The average ‘lifespan’ of a porcelain dental veneers is between 10 – 15 years.

Young man getting veneers placed onto his teeth using a light cure

Can Replace The Enamel of Damaged Teeth

Enamel is the outermost layer of your teeth which helps to protect it. This enamel is highly durable and strong but it can still be damaged and worn down. Enamel quality can also be compromised if issues arise during the formation of enamel. Damaged enamel is a cause for concern as lost enamel does not grow back. This can also lead to increased sensitivity and pain in affected teeth, increased susceptibility to dental decay which can lead to painful tooth abscesses. There are many causes to enamel loss which can include; aggressive tooth brushing, acid-reflux disease, and even certain acidic foods and drinks. 

Dental veneers are an excellent enamel replacement for patients suffering from enamel loss as dental veneers can help mimic the protective function of natural tooth enamel.

Cons Getting Dental Veneers

young man getting his teeth checked for the right tooth shade before getting dental veneers

Purely Cosmetic Treatment

Dental veneers are generally only used to address cosmetic concerns and meant to improve the visual appearance of teeth. Veneers will not correct or address any underlying oral health issues or issues with the teeth, such as dental decay, cavities, and certain orthodontic issues such as an overbite and underbite.

Patients suffering from oral health issues or dental decay are not good candidates for dental veneers. Patients who have severe forms of malocclusion such as an overbite or underbite are more suited for orthodontic treatment.

And those who have have dental veneers should take extra good care of their oral health as poor oral health, gum disease and dental decay can lead to failure in the margins of the veneers.

Dental veneers concealing multiple dental issues

Irregularities in Color

The colour of dental veneers typically stays the same throughout their entire lifetime. Natural teeth on the other hand, will naturally change colour over time based on a variety of factors such as diet. For patients who have dental veneers over all of their front teeth, this will not be an issue.

However, for patients who only have one or a few veneers placed, the disparity in colour between natural teeth and veneered teeth will become very noticeable. This may require a replacement of the veneer or whitening of the natural teeth.

Dental veneers are not Permanent - Have to be replaced once every 15 - 20 years

Dental Veneers Are NOT Permanent

Dental veneers can have a long lifespan given good oral health and proper maintenance. However, dental veneers are not permanent as they were never designed to last forever. Most patients will need to pay for a new set of replacement veneers at some point in their life.

The average ‘lifespan’ of a porcelain dental veneers is between 10 – 15 years.

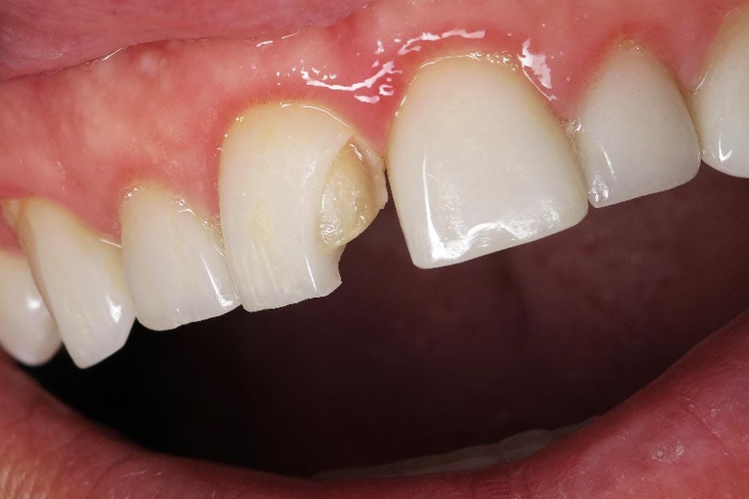
damaged dental veneer

Dental Veneers Can Break OR Chip

Although porcelain is a both a sturdy and durable material, there is still a risk of chipping or breakage when it comes to dental veneers. Patients who have a tendency of biting their nails, chicken bones or crab shells are especially susceptible to chipping their dental veneers. When porcelain dental veneers get damaged, they will need to be replaced as soon as possible as they cannot be repaired.

With proper care and maintenance, the risk of damage to dental veneers can be significantly reduced. 

Young man getting veneers placed onto his teeth using a light cure

Veneering Process is Irreversible

The process of getting dental veneers involves filling down the enamel surface of each treated tooth. This filling down process is irreversible as lost enamel does not grow back. There is no way to reverse the filling down process without replacing the entire tooth. 

As such, patients who are looking to get dental veneers need to understand that it is an irreversible process and that they should be prepared to properly care and maintain their dental veneers to ensure long-term success of their treatment. 

Woman suffering from tooth pain after getting dental veneers

Increased Tooth Sensitivity After Procedure

Some patients may experience increased tooth sensitivity post treatment, especially when consuming hot or cold foods/drinks. This sensitivity usually lasts up to 7 days after treatment. This sensitivity can help alleviated through the use of over-the-counter pain medication.

In rare cases, some patients may even suffer from tooth pain resulting from severe sensitivity. In such cases, a root canal treatment may become necessary to stop the pain.

mouth pain due to trauma caused by a dental veneer

Increased Risk Of Trauma

Patients who have undergone the dental veneering process have an increased risk of dental trauma in treated teeth as the procedure removes some enamel off the outer surface of each treated tooth in order to allow dental veneers to bond firmly. This process can result in increased tooth sensitivity and in severe cases even inflammation of the dental pulp of treated teeth. In these rare cases it may become necessary for a root canal treatment to be performed on the tooth to alleviate the inflammation and have a crown be put over the tooth afterwards.

black margins due to dental veneers

Veneer Margins Can Stain

Even though the surface of veneers does not pick up stains easily, the margins of the dental veneer can stain over time. This would normally look like a black line around the gum margins. This can be prevented by reducing intake of food or beverages that can cause stains. But if the stains set in after years of use. The dental veneers will need to be replaced.

The ideal candidate for dental veneers in Singapore

Am I A Suitable Candidate For Dental Veneers?

Generally speaking, the ideal candidate for dental veneers is a person who has good oral health and a set of healthy but aesthetically compromised teeth who is looking to improve the appearance of their teeth and overall smile. Moreover, our dentists do believe that the long term success of dental veneers is highly reliant on patient compliance when it comes to maintaining good oral health and proper care when handling their dental veneers. For example, patients who bite their nails or chew on chicken bones may not be ideal candidates for dental veneers, as these habits may damage the dental veneers).

Dental veneers are typically only recommended for full-grown adults as dental veneers are bonded directly onto the outer front surfaces of each tooth and it is critical that the tooth is full sized and fully grown before placement of the dental veneers.

If you’re looking to understand more about veneers or want to check if you’re a suitable candidate for veneers. Contact us via our support hotline at 9007 1085 or email us at enquiry@https://testsite.nofrillsdental.com/ or message us directly. to get in touch with our dentists.

Pros of Choosing Invisalign Treatment

attractive lady undergoing Invisalign treatment in Singapore

Virtually Invisible & Removable

Generally, the main selling point of Invisalign is that it’s an efficient and effective method of correcting orthodontic issues while being removable and virtually invisible. These removable aligners allow patients to eat, brush and floss more comfortably as compared to conventional braces with the added benefit of allowing patients to have their teeth adjusted without anyone having to know that they’re on Invisalign. This also extends to patients who engage in an active lifestyle, allowing them to comfortably continue with their daily activities with zero interference, allowing them to eat and drink whatever they like without the worry of breaking a dental bracket or snapping a wire.

attractive lady undergoing Invisalign treatment in Singapore

Addresses Malocclusion

Invisalign is able to address different types of malocclusion such as underbite, crossbite, overbite, open bite, crooked teeth, and gapped teeth. Unlike dental veneers which simply conceal the orthodontic issue, Invisalign will physically correct these issues providing patients with a natural and brand new smile after they’re done with treatment. 

Dental veneers can only correct mild misalignments in teeth . As such, orthodontic solutions such as Invisalign treatment may be the only way for patients with moderate or severe malocclusion to achieve their desired results.

Invisalign vs braces treatment in Singapore

Less Filing Down Of Enamel Required

Patients who decide to proceed with Invisalign treatment will not need to fill down their teeth in order to proceed with treatment, unlike dental veneers. However, some patients may require some filing between their teeth to create some space between teeth to move before starting Invisalign treatment, this process is known as IPR or Interproximal Reduction. IPR is often required when patients have crowded teeth. The IPR process will not permanently compromise natural teeth unlike the filing process done for dental veneers, as the amount of enamel reduced to create space is very little as will not affect the protective functions of enamel.

Invisalign vs braces treatment in Singapore

Permanent Results

The final results from Invisalign treatment are permanent and can last a lifetime, unlike dental veneers which have a ‘lifespan’ of about 15 years on average. However, patients who have undergone Invisalign treatment will require a retainer to hold their newly shifted teeth in place after completing the treatment to allow their teeth to permanently fuse into their new position. 

 

attractive lady undergoing Invisalign treatment in Singapore

Perfectly Natural Looking

Invisalign treatment provides patients with a natural set of perfectly straight teeth after treatment. Moreover, there will never be an issue of mismatched tooth colours which can happen over time in patients with only one or a few dental veneers placed. The patient also maintains  the natural shape and contour of their original teeth which sometimes veneers cannot replicate.

Patients who have completed Invisalign treatment can choose to undergo some teeth whitening to achieve a bright and fresh set of perfectly straight teeth to show to the world.

Cons of Getting Invisalign Treatment

Invisalign provides patients with reduced visits to the dentists

Longer Duration of Treatment

The entire duration of Invisalign treatment depends on the complexity of the case and the amount of movements required to move teeth to their desired positions. An average treatment duration ranges between 12 – 18 months, but can vary from patient to patient. (Patients on the Dental Monitoring system may experience a shorter treatment duration)

Patients on the Invisalign system are typically required to come back for regular dental visits once every 4-6 weeks for a quick check-up and collection of subsequent aligners.

Alternatively, dental veneering process from start to finish typically only takes 2-3 visits to the dentist to fully complete treatment.

happy indian man posing with his Invisalign clear aligners while doing Invisalign treatment in singapore

Consistent Wearing of Aligners

An important aspect of a successful Invisalign treatment is patient compliance when it comes to wearing their aligners. The success of any Invisalign treatment is highly dependant on the patient wearing their aligners for 22 hours everyday as the Invisalign system only works when patients are actually wearing their aligners. When patients forget to wear their aligners for the sufficient number of hours every day, it may affect the progress of their treatment.

The lack of wearing the aligners as directed by your dentist can result in an extended treatment duration.

Invisalign vs braces treatment in Singapore

Frequent Brushing & Flossing

Maintaining good oral hygiene is essential when it comes to both Invisalign treatment and dental veneers. However, it is even more important for patients undergoing Invisalign treatment to keep their teeth clean as any food debris stuck in between teeth, can easily cause tooth decay if not removed. It is highly recommended that patients brush their teeth after eating or drinking anything that’s not water. While frequent brushing may seem as burden to some, this practice of teeth brushing after every meal will lead to a significant improvement in overall oral health and appearance of teeth after completing Invisalign treatment.

cost of Invisalign treatment in Singapore

Cost of Invisalign Treatment

The cost of Invisalign treatment in Singapore typically ranges from  $4500 – $8000 when performed by a general dentist, while the cost of Invisalign lies between $7000 – $9500 for treatment by an orthodontist (specialist dentist that focuses on correcting malocclusion and bite issues ). You can find our more about the cost of Invisalign treatment in Singapore and the breakdown of costs involved with the treatment in a separate article over here.

Invisalign clear aligner carrying case

Losing Your Clear Aligners

Some patients have the tendency of losing their Invisalign clear aligners. This is especially so for patients who do not store their clear aligners in the provided Invisalign clear aligner carrying case. Typically, patients lose their aligners when they remove them when eating or drinking.

Losing a clear aligner may affect the progress of Invisalign treatment and can result in an extended treatment duration. If you do lose an aligner, be sure to contact your dentist as soon as possible so that they may instruct you on the relevant steps to take in order to mitigate any potential disruptions to your treatment.

Ceramic braces in Singapore | Ceramic braces treatment in Singapore

Not Ideal For Very Complex Cases 

Invisalign treatment has the ability to address wide variety of orthodontic issues. However, there are limitations in terms of the severity of cases that it can treat. For patients suffering from severe forms of malocclusion such as very deep bites.

Orthodontic braces may be a better alternative to Invisalign it is able to more efficiently address complex cases. If you’d like to understand more about the differences between Invisalign and metal braces, you can check out our separate article on the topic.

The Ideal candidate for Invisalign treatment

Am I A Suitable Candidate For Invisalign Treatment?

Invisalign treatment is generally better suited for teenage to adult patients rather than younger children, given the patient compliance required for an effective, efficient and successful treatment. 

Patient who are suitable for Invisalign treatment should understand the level of commitment required for this form of orthodontic treatment and must be able to follow the recommended instructions from their dentist. This may include wearing their aligners for 22 hours a day, coming in for dental check-ups once every 6 – 8 weeks, and changing their aligners on time. 

Additionally, patients suffering from severe forms of malocclusion may not be ideal candidates for Invisalign treatment and may be better suited for conventional braces.

If you’re looking to understand more about Invisalign or want to check if you’re a suitable candidate for Invisalign. Contact us via our support hotline at 9007 1085 or email us at enquiry@https://testsite.nofrillsdental.com/ or message us directly. to get in touch with our dentists.

Here’s a summary between the two treatment options.

When deciding between dental veneers or Invisalign treatment, the critical thing to understand is your primary goal. Both solutions have the ability to improve the aesthetics of your smile and teeth through different means. Invisalign focuses more on correcting the bite and alignment of teeth. While dental veneers focus on correct the cosmetic issues of each tooth such as the size, shape, texture and colour. They can be used independently, or in conjunction with each other.

Both systems have their pros and cons. All patients who are looking to get started on their Invisalign or dental veneer journey should consult their dental provider for more details on either system. An experienced dentist will be able to advise you on which system is best suited for your case. Feel free to contact us via our support hotline at 9007 1085 or email us at enquiry@https://testsite.nofrillsdental.com/ or message us directly to get in touch with our dentists.

 

 

Invisalign Veneers
Appearance Virtually invisible and clear aligners. Thin pieces of porcelain that’s bonded to the outer front surface of teeth.
Ease of Oral Health Maintenance Patients are recommended to brush their teeth every time they eat or drink anything that’s not water. Regular oral care habits.
Dietary Requirements No change in diet required as aligners are removable when eating. No change in diet required but patients should be weary of biting down on hard food objects to avoid breaking or chipping their veneers.
Breakage Sometimes breaking of the aligners may occur, when there is too much pressure putting on or removing aligners. Attachments may dislodge, which will require attention as soon as possible, requiring a visit to the dentist to replace the dislodged attachment. Veneers are highly durable but are still prone to chipping and damage if not properly cared for.
Comfort Level Less initial pain, forces are applied gradually over the period of wear for each set of aligners. Generally there should be no pain during the treatment and after the treatment. However, some patients may experience increased tooth sensitivity after getting their veneers.
Treatment Duration Entire treatment process typically ranges between 12 – 18 months. Entire treatment can be completed in under 3 dental visits.
Treatable Conditions Treats patients suffering from malocclusion by shifting teeth to a desired optimal position. But has difficulty in treating complex cases such as deep bites and cases requiring jaw surgery – Braces treatment may be more suitable for complex cases. Does not physically treat any condition apart from replacing damaged enamel in certain cases. But can conceal cosmetic issues by changing the size, shape, colour and texture of a tooth.
Patient Compliance Treatment is highly dependent on good aligner wear of 20 – 22 hours per day. Good oral hygiene required to prevent any oral health issues from arising. Patient compliance in maintaining good oral health required for long term success of dental veneers as poor oral health can lead to gum disease and ultimately failure of the dental veneers
Retainer Wear After Treatment Yes. Not Required
Lifespan Permanent results – as long as retainers are worn as recommended by dentist. 15-20 years on average. Must be replaced afterwards.
Average Cost of Treatment $4500 – $9500 $250 – $1000 per tooth

 

This Article Has Been Medically Curated By:

“Positive experiences in the dental setting goes a long way. I aim to provide quality dental care tailored to every patient’s individual needs.”

Dr Li Kexin
Associate Dental Surgeon, NoFrills Dental

So, What’s Next?

If you’ve got more questions about getting Invisalign or Veneers. You can read up more on our dedicated page on Invisalign Treatment in Singapore, and Veneers in Singapore, you could contact us directly to speak to one of our dentists.

We would suggest for you to speak to one of our dentists. Our dental professionals providers are experienced, ready to answer all your queries, and will discuss all the possible treatment options available for you.

At the end of the day, we believe that the right dentist for you is the one who will lay out all your treatment options on the table, allowing you to make informed decisions, while ensuring that your entire treatment process is as enjoyable, comfortable and hassle-free as possible. Good communication between you and your dentist is the best way to ensure a smooth and successful treatment.

In addition, please only proceed with the treatment if you are fully comfortable with the treatment plan proposed by your provider.

Talk to Us Today!

9 + 10 =

Related Posts