Alternatives to Teeth Whitening
Find out other options to whiten your teeth!
Table of Contents
Introduction | Teeth Whitening options | Professional Teeth Whitening | Over the counter Teeth Whitening products | When Teeth Whitening might not work | Teeth Whitening alternatives | Homemade Teeth Whitening remedies | Natural ways to whiten your teeth safely | What’s the best way to brighten your smile | Why choose NoFrills Dental

Written by NoFrills Dental
This dental article has been curated by the clinical team @ NoFrills Dental 🙂
December 11, 2021

Yellow or stained teeth can tarnish your smile and undermine your self-confidence at work and in your social life. You may even feel so embarrassed that you try to cover your mouth when you laugh, eat or speak.
In many cases, the solution is teeth whitening, and different options are available. However, teeth whitening won’t be effective for everyone, and that’s when it’s time to consider teeth whitening alternatives. Here, we’ll look at all the main options to get a brighter smile.
Teeth Whitening Options

You can get your teeth whitened by a dentist or use over-the-counter whitening products. Professional teeth whitening is faster and more effective than merchandise like whitening toothpastes and bleaching agents.
The professional teeth whitening process is carefully monitored to ensure your safety, which enables the use of more powerful bleaching agents to achieve better results. Dentists may also have access to technology such as ultra-violet (UV) lighting systems to intensify whitening.
In 2019, a respected dental organisation in the UK concluded that store-bought and online whitening products could be “a waste of money”. The British Dental Association said these products were less effective than professional treatment and took longer, with the risk of damage to teeth.
Professional Teeth Whitening
Teeth whitening is a popular cosmetic treatment in dental clinics in Singapore. Dentists whiten teeth during a procedure at the practice or by giving you whitening trays you can use at home.
Both types of professional teeth whitening produce longer-lasting results than off-the-shelf whitening trays because dentists can use stronger levels of bleaching agent – hydrogen peroxide or carbamide peroxide.

Teeth Whitening in the Dental Chair
A single chairside teeth whitening appointment usually takes 90 minutes or less to produce dramatic results – teeth many shades whiter for months or even longer.
Treatment is customised to your particular needs to provide the precise level of brightness you’re looking for, in the areas you want it most.
It’s the most expensive teeth whitening option but the most effective, costing around $1,000 to $1,300 a session.

Prescription Teeth Whitening Trays
As an alternative to in-practice teeth whitening, your dentist can prescribe whitening trays for home use. Impressions of your mouth are taken so custom trays can be made for a precise, comfortable fit that ensures the whitening gel stays in contact with your teeth.
Wearing the bleaching trays for 30 minutes to one hour a day for two weeks is usually sufficient to achieve the desired results.
Take-home whitening trays generally cost $300 to $650.
Over-the-Counter Teeth Whitening Products

Teeth whitening products available over the counter include whitening toothpastes and mouthwashes and bleaching gels and strips.
Unlike professional treatments, these products contain little if any peroxide bleaching agent. Singapore healthcare regulations stipulate that teeth whitening products with more than 0.1 percent of hydrogen peroxide can only be used by dentists.
This makes off-the-shelf teeth whitening products cheaper than professional treatment – from around $12 to $60 – but far less effective.
Whitening your teeth with store-bought products may require multiple applications before getting any perceptible results. The overall cost can therefore ultimately be comparable with that of getting prescription bleaching trays from your dentist.
When Teeth Whitening Might Not Work
In some cases, teeth whitening – even by a dental professional – may not be the right solution to achieve a sparkling smile.
This is largely because teeth become can become stained in different ways – extrinsic staining and intrinsic staining.
While extrinsic staining usually responds to professional teeth whitening, deep intrinsic staining does not.
Other factors that may make teeth whitening problematic include:
- Your gums and/or teeth are particularly sensitive.
- You’re sensitive to peroxides.
- Your gums are receding.
- You have tooth decay.
- You have gastroesophageal reflux disease (GERD) or acid erosion of your teeth.

Extrinsic staining
Extrinsic – external – staining affects the enamel, outer surface of teeth. It’s usually caused by tobacco use or frequent consumption of drinks with a dark pigment, such as tea, coffee or red wine.

Intrinsic staining
Intrinsic stains develop within a tooth and are usually purplish or greyish. Some people – especially older adults – have problems with both extrinsic and intrinsic tooth staining.

Extrinsic staining
Extrinsic – external – staining affects the enamel, outer surface of teeth. It’s usually caused by tobacco use or frequent consumption of drinks with a dark pigment, such as tea, coffee or red wine.

Intrinsic staining
Intrinsic stains develop within a tooth and are usually purplish or greyish. Some people – especially older adults – have problems with both extrinsic and intrinsic tooth staining.
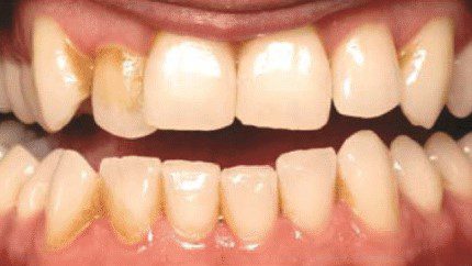
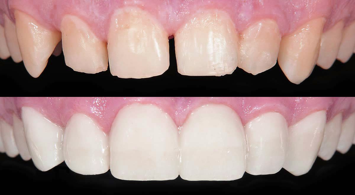
Teeth Whitening Alternatives
If teeth whitening isn’t a suitable option, other cosmetic dentistry solutions are available. These include:
- Porcelain veneers.
- Tooth bonding.
- Tooth-coloured fillings.
- Dental crowns.
Porcelain dental veneers are tooth-coloured, ultra-thin shells that are custom fitted to the front of teeth.
They can keep your smile bright for 15 years or longer and, unlike natural teeth, are stain resistant.
Made from medical-grade ceramic, porcelain veneers look like real teeth because they’re semi-transparent and react to light in the same way as dental enamel.
They not only mask stained teeth but can also enhance the appearance of teeth that are chipped or cracked or slightly misaligned.
[/dsm_card_carousel_child][dsm_card_carousel_child title=”Tooth Bonding” image=”https://testsite.nofrillsdental.com//wp-content/uploads/2021/12/understand-dental-bonding.jpg” alt=”dental bonding” button_url_new_window=1 _builder_version=”4.13.0″ _module_preset=”default” header_level=”h3″ header_font=”|600|||||||” header_font_size=”22px” header_line_height=”1.2em” body_line_height=”2em” global_colors_info=”{}” parent_button=”off”]Like porcelain veneers, tooth bonding – or dental bonding – also fixes problems such as stained teeth and chipped teeth.
One of the most affordable dental cosmetic options, tooth bonding produces immediate results.
It entails bonding a dental composite resin directly to the surface of a tooth. The colour of the resin is matched to your teeth for a natural appearance.
Dental bonding can generally be done in one appointment and takes 30 to 60 minutes per tooth.
[/dsm_card_carousel_child][dsm_card_carousel_child title=”Tooth-Coloured Fillings” image=”https://testsite.nofrillsdental.com//wp-content/uploads/2020/10/Composite-resin-dental-fillings.jpg” alt=”Tooth coloured composite dental resin in Singapore” button_url_new_window=1 _builder_version=”4.13.0″ _module_preset=”default” header_level=”h3″ header_font=”|600|||||||” header_font_size=”22px” header_line_height=”1.2em” body_line_height=”2em” global_colors_info=”{}” parent_button=”off”]If a dental cavity is spoiling your smile, a tooth-coloured filling can restore its natural appearance and strengthen functionality.
These fillings are made from acrylic or plastic. Unlike grey or silver amalgam fillings, composite resin fillings match the colour of real teeth.
A tooth-coloured filling can last up to five years before needing replacement.
[/dsm_card_carousel_child][dsm_card_carousel_child title=”Dental Crowns” image=”https://testsite.nofrillsdental.com//wp-content/uploads/2021/09/designing-dental-crown.jpg” alt=”designing a dental crown” button_url_new_window=1 _builder_version=”4.13.0″ _module_preset=”default” header_level=”h3″ header_font=”|600|||||||” header_font_size=”22px” header_line_height=”1.2em” body_line_height=”2em” global_colors_info=”{}” parent_button=”off”]Unlike veneers, dental crowns cover the whole surface of a tooth and provide a solution when a tooth has lost so much structure that a filling wouldn’t be sufficient or a large filling has become compromised.
Crowns are typically made from metal, porcelain fused to metal, or full porcelain.
Full porcelain crowns are favoured for the best aesthetic results to match the natural colour and translucency of teeth.
[/dsm_card_carousel_child]
Porcelain Dental Veneers
Porcelain dental veneers are tooth-coloured, ultra-thin shells that are custom fitted to the front of teeth.
They can keep your smile bright for 15 years or longer and, unlike natural teeth, are stain resistant.
Made from medical-grade ceramic, porcelain veneers look like real teeth because they’re semi-transparent and react to light in the same way as dental enamel.
They not only mask stained teeth but can also enhance the appearance of teeth that are chipped or cracked or slightly misaligned.

Tooth Bonding
Like porcelain veneers, tooth bonding – or dental bonding – also fixes problems such as stained teeth and chipped teeth.
One of the most affordable dental cosmetic options, tooth bonding produces immediate results.
It entails bonding a dental composite resin directly to the surface of a tooth. The colour of the resin is matched to your teeth for a natural appearance.
Dental bonding can generally be done in one appointment and takes 30 to 60 minutes per tooth.

Tooth-Coloured Fillings
If a dental cavity is spoiling your smile, a tooth-coloured filling can restore its natural appearance and strengthen functionality.
These fillings are made from acrylic or plastic. Unlike grey or silver amalgam fillings, composite resin fillings match the colour of real teeth.
A tooth-coloured filling can last up to five years before needing replacement.

Dental Crowns
Unlike veneers, dental crowns cover the whole surface of a tooth and provide a solution when a tooth has lost so much structure that a filling wouldn’t be sufficient or a large filling has become compromised.
Crowns are typically made from metal, porcelain fused to metal, or full porcelain.
Full porcelain crowns are favoured for the best aesthetic results to match the natural colour and translucency of teeth.
Homemade Teeth Whitening Remedies

Some people look to homemade remedies as an alternative to professional teeth whitening or off-the-shelf whitening products.
Some teeth whitening remedies are harmless but others could damage your teeth, including:
- Using a mixture of activated charcoal powder and water. This might irritate your gums if you don’t rinse your mouth very thoroughly.
- Brushing your teeth with a paste made from strawberries and baking soda. Acid in the strawberries is bad for tooth enamel.
- Rinsing your mouth with apple cider vinegar. This can also erode enamel.
Natural Ways to Whiten Your Teeth Safely
There are several natural methods for whitening your teeth at home safely. These include:
• Regular brushing and flossing.
• Using a baking soda paste (without the strawberries).
• Eating apples, which increases saliva to flush away acids.
• Cutting down on dark-coloured foods and drinks.
• Avoiding smoking or chewing tobacco.
What’s the Best Way to Brighten Your Smile?

With so many teeth whitening options and alternatives available, there’s no need to put up with the embarrassment of stained or yellowed teeth.
The most effective way to get a sparkling smile is through a dentist offering a range of cosmetic treatments such as whitening, veneers, tooth bonding and tooth-coloured fillings and crowns.
NoFrills Dental can help you decide which of these procedures is right for you.
Why Choose NoFrills Dental?
Dentists at NoFrills Dental are experienced in teeth whitening and whitening alternatives, and perform cutting-edge cosmetic treatments backed by innovative dental technology.
These state-of-the-art aesthetic procedures include ZOOM advanced teeth whitening, designed for optimal safety and effectiveness. The ZOOM chairside lamp harnesses the power of special UV light to accelerate the teeth bleaching process and can lighten discoloration of both enamel and dentin in less than one hour.
Contact us for help in making an informed decision on whether teeth whitening is your best option or whether another cosmetic dental treatment would be more suitable for you. We’ll listen carefully to your aesthetic goals and formulate a personalised treatment plan to give you the best results.

“
Looking to get started on your brand new & improved smile? Speak to our dentists today!
Our team of experienced dentists are fully dedicated to providing patients with high-quality and affordable dental care. Our dentists are well-versed in the cosmetic dentistry, and highly adept in producing highly aesthetic and long lasting results for all of our patients.
Schedule an appointment
We’ll get back to you within 24 hours.
Our Dental Clinics
We are conveniently located at these locations:
NoFrills Dental @ Suntec City
3 Temasek Boulevard
Suntec City (North Wing)
#03-317
Singapore 038983
T: +65 6337 7319
E: suntec@https://testsite.nofrillsdental.com/.sg
NoFrills Dental @ Marina Square
6 Raffles Boulevard,
Marina Square,
#B1-11
Singapore 039594
T: +65 6227 8885
E: marinasquare@https://testsite.nofrillsdental.com/.sg
Related Posts

Effective ways to clean your Invisalign Aligners
The advanced technology of Invisalign aligners has made them a hugely popular alternative to braces for straightening teeth, among teens and adults alike.
These clear plastic appliances are more comfortable and virtually unnoticeable in the mouth, and have the further a…

How to Clean Retainers: For Removable and Permanent Retainers
Retainers sit inside of your mouth and come into direct contact with your teeth. Bacteria, plaque and tartar can quickly accumulate inside of your retainers if they’re not cleaned properly and regularly. Just like your regular teeth, it’s important to clean your ret…

ClearCorrect vs Invisalign
In this article, we compare two popular clear aligner companies: Invisalign and ClearCorrect. They are two of the most renown in-office clear aligner companies that boast a strong track record of results. Both sets of aligners aim to straighten misaligned teeth and corr…
