The advanced technology of Invisalign aligners has made them a hugely popular alternative to braces for straightening teeth, among teens and adults al…


We’ll keep you up to date on the latest findings, trends and insights in the dental industry.
Stay tuned!

The advanced technology of Invisalign aligners has made them a hugely popular alternative to braces for straightening teeth, among teens and adults al…

Retainers sit inside of your mouth and come into direct contact with your teeth. Bacteria, plaque and tartar can quickly accumulate inside of your ret…

In this article, we compare two popular clear aligner companies: Invisalign and ClearCorrect. They are two of the most renown in-office clear aligner …

An experienced and efficient dentist can make your Invisalign experience an enjoyable one. In this article, we provide you with 5 helpful tips on how …

A healthy and beautiful smile does wonders to your self-esteem and makes a huge impact on your life.
Your smile is one of the first things people n…

Invisalign aligners have revolutionized the world of orthodontics by offering patients a hassle-free and comfortable way the treatment of misaligned t…

Many parents and children often have a multitude of questions for their dentist about living with and choosing Invisalign – is Invisalign treatment …

Invisalign has taken over the dental landscape by storm and is making huge waves in the world of orthodontics. They are custom-made, clear plastic ali…

Intraoral scanning has given us the ability to make the process of modelling your teeth fast and easy. It also allows us to create a model of your exp…

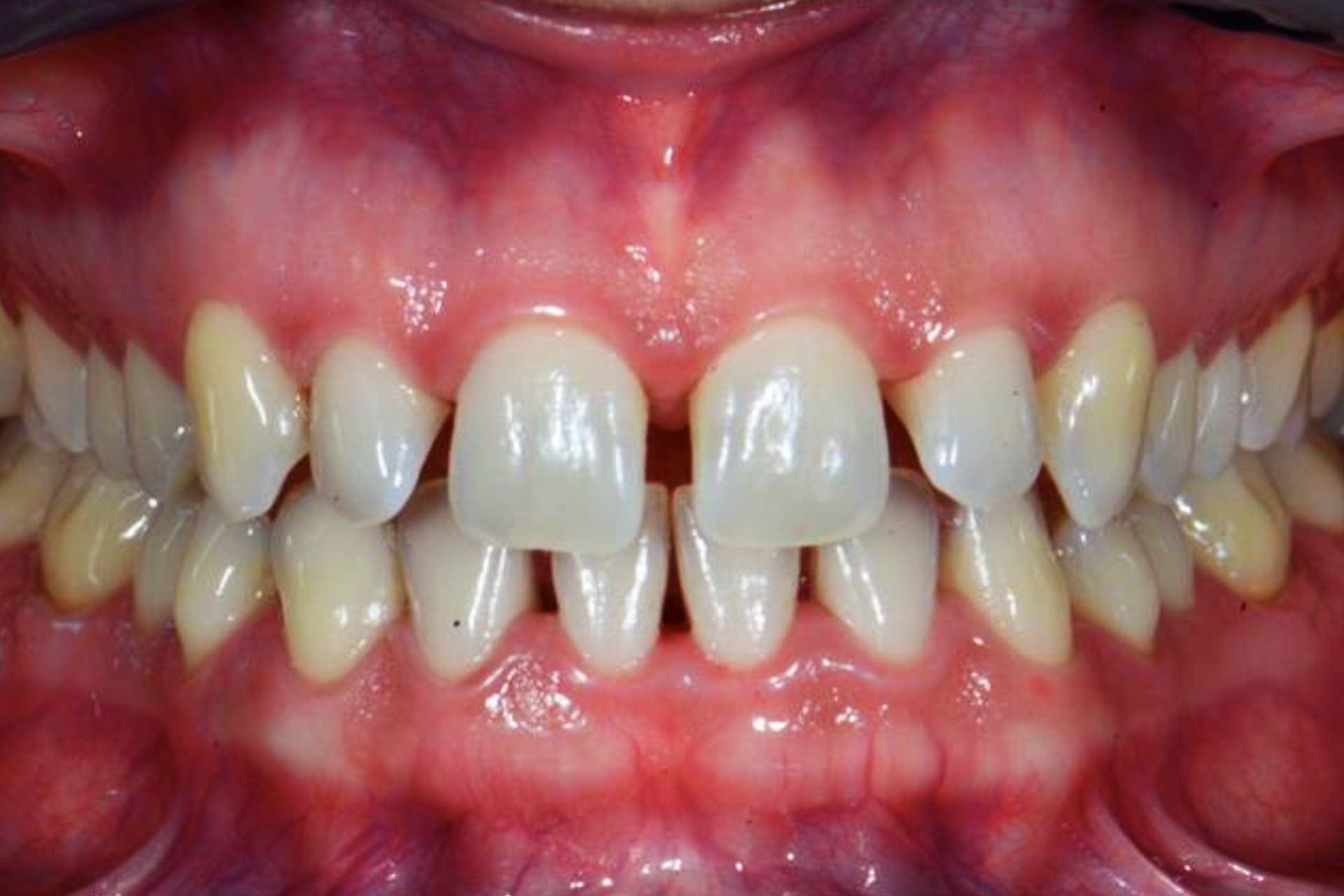
A diastema is the medical term for a gap between two teeth. The most common type of diastema is a gap between the two upper front teeth, known as a  

A total smile makeover involves a combination of cosmetic dentistry treatments that can transform your professional and social life by making your dre…

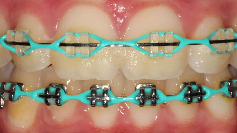
Some people who wear braces like them to be inconspicuous but many others – youngsters and adults alike – prefer to make a style statement with th…

If you’re about to start Invisalign treatment, understanding how this innovative teeth straightening system works can help you get the best outcome …

Dental Monitoring is the first dynamic aligner tracking technology which allows the dental team to monitor your treatment and communicate with you sea…

Most people would agree that having a pleasing smile paired with a set of perfectly straight and white teeth makes anyone instantly more attractive, c…

Invisalign is a modern and powerful orthodontic system used by dentists all over the world to treat a variety of complex orthodontic dental issues ran…

Invisalign and Dental Veneers are two very different forms of dental treatment that patients usually compare before getting onboard with either system…
Understanding which retainer is right for you will determine the long term success of your orthodontic treatment. There are 2 main types of retainers …

There are plenty of differences between Invisalign and Braces treatment. Understanding which treatment is best for you will ultimately determine your …

Invisalign alternative brands of clear aligners in Singapore do have their place. Our dentists advocate providing the best possible treatment for pati…

This question is possibly the most common question that our dentists get from patients who are interested in getting started on Invisalign treatment. …