Benefits of straight teeth.

A healthy and beautiful smile does wonders to your self-esteem and makes a huge impact on your life.

NoFrills Dental circular logo

Written by NoFrills Dental

This dental article has been curated by the clinical team @ NoFrills Dental 🙂

August 1, 2021

Why should you get straight teeth?

A healthy and beautiful smile does wonders to your self-esteem and makes a huge impact on your life. Studies have shown that a person’s self-perception of their smile remarkably affects their well-being and confidence levels [1]. Your smile is one of the first things people notice about you, and first impressions really do count. The importance of straight teeth and a nice smile explains why Invisalign, braces, dental implants and veneers are one of the most popular cosmetic dental treatment options on the market right now.

In this article, we break down and explain the reasons why having a straight set of teeth is advantageous towards both your oral and general health. Then, we will share the various treatment options in which you can get your teeth straightened and finally conclude by answering a bunch of FAQs about the process of getting healthy and aligned teeth. Read on more to find out!

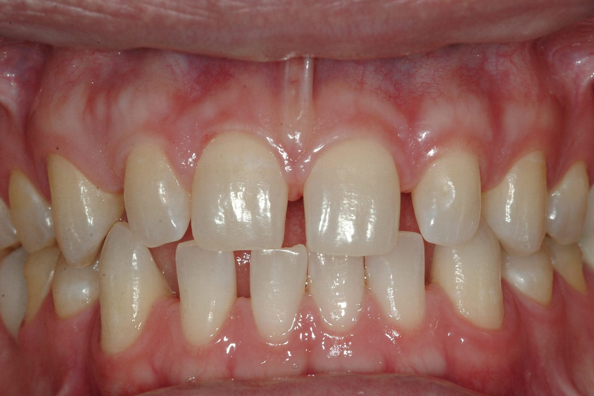
spacing between teeth

Classification of Malocclusions

Before understanding why having a straight set of teeth will benefit you, we aim to equip everyone with the knowledge of the three main categories of malocclusions (jaw and tooth misalignments) and why they need to be corrected.

Class I Malocclusion

The most common malocclusion in Singapore is the Class I malocclusion, as seen in 48.1% of all orthodontic patients [2]. The top jaw meets the bottom jaw in the correct position but the teeth are usually crowded and not well aligned. This condition can be easily treated with orthodontic intervention at any age [3].

Class II Malocclusion

The Class II malocclusion can be classified into two types: 

  • Class II Division 1 (Overjet): where the upper incisors protrude out. Its prevalence in Singapore is around 26.3% [2].
  • Class II Division 2: where the upper incisors are retroclined and the top front teeth significantly overlap the bottom front teeth. It may also be called a deep bite, where the lower jaw is typically shorter than the upper jaw. 

 Depending on the severity of the malocclusion, children are often referred to an orthodontist for treatment as this condition carries a greater risk of trauma, aesthetic, and functional problems.

Class III Malocclusion

The Class III malocclusion is an ‘underbite’, where the lower teeth extend outward farther than the upper teeth when the jaw is closed. In cases like these, the lower jaw is larger than the upper jaw and this condition has a local prevalence of 22.4% [2].

Class III malocclusions need to be corrected to prevent more severe bite, temporomandibular joint and skeletal jaw problems in the long run. In some cases, a combination of jaw surgery and braces are required to achieve a functional bite. Surgery is often planned when patients are young adults/adults as the lower jaw stops development at this age [2] [4].

Benefits of Having Straight Teeth

The benefits of straight teeth and a healthy bite are very significant. They bring your teeth and jaws in a harmonious position with the face, improving not only your appearance, but oral health and function [3]. In this section, we will talk you through the numerous health benefits of having a healthy and straight dentition.

Aesthetics and Increased Confidence

Let’s be real here – having a set of straight teeth will certainly incentivize you to want to show your pearly whites off to the world. In 2016 a survey carried out in the US by Invisalign, and Harris Poll targeted to find out why people wanted to straighten their teeth and how their lives changed once Invisalign treatment was over [5].

They recruited more than 2,000 teens and young adults over the age of 18 to take part in their study as they aimed to discover how straight teeth affect their confidence, personal well being, success in their workplace, social lives, and happiness.

The results from their findings were eye-opening – about 82% of the respondents recognized some inherent value in having straight teeth [5]. The majority felt that straighter teeth would positively impact their confidence. More importantly, amongst those who had orthodontic treatment growing up, almost all participants said that straight teeth were crucial to their confidence [5].

Greater confidence levels allow you to experience freedom from insecurity and boost your self-esteem. Whilst having straight teeth alone may not be the sole reason for your increase in confidence levels, 92% of respondents felt that they were much more confident after having their teeth corrected with braces or Invisalign. In addition, 83% agreed that their ‘new smile’ brought about improvements to their well-being and 76% felt that they experienced success in the workplace and reaped the overall health benefits [5].

The society we live in today places a huge emphasis on how we are perceived by others based on our outward appearance. Your teeth are one of the most impressionable physical attributes and a well-aligned smile brings about confidence like no other. It can have the capacity to make you happier by leaps and bounds – you will never know unless you experience it for yourself!

Improved Oral Hygiene

Have you ever noticed that one crooked tooth in your mouth keeps trapping food time and time again? This often happens if you have teeth that overlap and bits of food find their way through the tiny spaces between your teeth.

Misaligned teeth can often be a challenge for patients to maintain good oral hygiene. These areas can be hard to reach with your toothbrush and much more difficult to pass dental floss or an interdental brush through to clean effectively. Over time, it serves as a plaque trap and can lead to dental caries if not maintained properly.

Your dentist will aim to point these teeth out to you as early as possible to prevent the prognosis of the crooked teeth from becoming worse as the years go by. They will offer a variety of different solutions to get these teeth into alignment so that you can look after them without having to worry about food traps and the risk of dental decay in the long run.

Prevention of Gum Disease

As mentioned briefly in the previous paragraphs, crooked teeth act as a plaque trap and can be a challenge for patients to keep clean. As time progresses, plaque mixes with the calcium and phosphate ions in our saliva, mineralizes and hardens to form a solid mass of bacteria called calculus [6].

Bacteria thrive in both plaque and calculus deposits, secreting acids that cause tooth decay and gum irritation [6]. This irritation leads to an inflammatory reaction within our body causing gingivitis. Gingivitis is a mild version of gum disease characterized by tender, red and inflamed gums that bleed when probed with dental instruments.

If not detected and treated effectively, gingivitis can progress into periodontal disease or periodontitis. This condition causes the gums to shrink and the jawbone to recede. A destroyed jawbone compromises tooth anchorage in its socket, and in extreme cases can lead to tooth loss.

Additionally, tilted teeth are often poorly supported as they have thin bone and gums, making them more prone to gingival recession. There is currently no treatment for gum recession, but good oral hygiene can prevent it from getting worse.

Identifying potential problems and reinforcing the importance of straightening your teeth early is key to preventing detrimental issues to your gums in the long run.

Reduction in the Risk of Jaw Problems

Severe tooth misalignments can cause problems when you chew and speak. One of the main negative consequences of malocclusion is the unequal distribution of load on teeth. There may be certain teeth that take on more biting and chewing forces than others causing premature tooth wear and soreness in the jaw muscles. The long-term consequences of not fixing an incorrect bite and tilted teeth are cracked tooth syndrome, severe jaw strain and orofacial pain.

Orthodontic treatment is strongly indicated in these cases to redistribute the biting forces amongst every tooth for an even occlusion.

Improves speech

Your teeth, lips, and tongue play a mammoth role in articulating words by modifying and obstructing the flow of air into and out of our mouths. Dentists from the University of Bristol carried out a study examining the relationship between tooth position and speech [7].

They found out that the participants with a malocclusion had more difficulties with dental sounds than those with a normal bite [7]. Those with an overjet (Class II division I malocclusion) had mild distortions with the production of “s” sounds and participants with a Class III malocclusion were unable to produce sibilant sounds (words like zip, sip, ship etc) effectively as their tongue posture typically hangs low and loose in the mouth [7].

Missing, crooked and gapped teeth change the placement of your tongue relative to your lips and teeth during the production of sound. This causes excess air to pass through your teeth creating a slight whistle every time you speak [8].

Less Risk of Traumatic Injuries

Dental trauma mostly affects your upper front teeth, causing damage to your smile, confidence, and the ability to speak and chew your food. Studies show that overjet (Class II Division I malocclusion) is the most significant risk factor for traumatic dental injuries as there is no adequate lip coverage to protect the protruded front teeth [9].

Children with an increased overjet of 6mm are at a higher risk of suffering from tooth trauma following a traumatic injury, and thus will require early orthodontic correction to reduce this overjet.

Braces treatment in Singapore

Ways to Straighten Your Teeth

Evidence suggests that the safest and most effective way to straighten misaligned teeth is to opt for fixed traditional braces or Invisalign aligners [10]. Invisalign has developed greatly over the years and has been growing in popularity because of its superior comfort and aesthetics.

Here is an overview of the main treatments your orthodontist can provide to fix your malocclusion:

[dsm_card_carousel_child title=”Metal Braces” image=”https://testsite.nofrillsdental.com//wp-content/uploads/2021/07/Close-up-of-person-wearing-braces.jpg” badge_text=”Cost-Effective” alt=”Close up of orthodontic braces” content_padding=”20px|5px|20px|0px|false|false” button_url_new_window=1 _builder_version=”4.9.10″ _module_preset=”default” header_level=”h3″ header_font=”|600|||||||” header_text_color=”#00a7ef” header_font_size=”21px” body_line_height=”2em” border_radii_image=”on|15px|15px|15px|15px” global_colors_info=”{}” parent_button=”off”]

Also known as the ‘train-track braces’, metal braces are attached to each tooth using composite resin (tooth coloured filling material) and tied together by rubber elastic nodules and an archwire made of medical-grade stainless steel.

This type of braces is the most common as it’s the most cost-effective option.

[/dsm_card_carousel_child][dsm_card_carousel_child title=”Ceramic Braces” image=”https://testsite.nofrillsdental.com//wp-content/uploads/2020/09/braces-6.jpg” badge_text=”Discreet Option” alt=”Ceramic braces in Singapore | Ceramic braces treatment in Singapore” content_padding=”20px|5px|20px|0px|false|false” button_url_new_window=1 _builder_version=”4.9.10″ _module_preset=”default” header_level=”h3″ header_font=”|600|||||||” header_text_color=”#00a7ef” header_font_size=”21px” body_line_height=”2em” border_radii_image=”on|15px|15px|15px|15px” global_colors_info=”{}” parent_button=”off”]

Ceramic braces are fixed brace appliances made of tooth coloured ceramic, sapphire, and composite resin material. They are a more aesthetic alternative and are as effective in performing three-dimensional tooth movements as conventional metal braces.

They generally cost a little more than conventional metal braces.

[/dsm_card_carousel_child][dsm_card_carousel_child title=”Self-Ligating Braces” image=”https://testsite.nofrillsdental.com//wp-content/uploads/2021/01/sg-braces-2.jpg” badge_text=”Discreet Option” alt=”festive braces colours” content_padding=”20px|5px|20px|0px|false|false” button_url_new_window=1 _builder_version=”4.9.10″ _module_preset=”default” header_level=”h3″ header_font=”|600|||||||” header_text_color=”#00a7ef” header_font_size=”21px” body_line_height=”2em” border_radii_image=”on|15px|15px|15px|15px” global_colors_info=”{}” parent_button=”off”]

Self-ligating braces have their own integrated self-locking system which eliminates the need of having rubber elastic nodules on each individual bracket.

Self-ligating braces are considered advantageous over the conventional metal ones as it reduces appliance discolouration as elastic nodules are not used to hold the brackets and archwire together.

[/dsm_card_carousel_child][dsm_card_carousel_child title=”Invisalign” image=”https://testsite.nofrillsdental.com//wp-content/uploads/2021/07/Close-up-of-person-teeth-wearing-Invisalign-clear-aligners.jpg” badge_text=”Virtually Invisible” alt=”Close up of Invisalign clear aligners” content_padding=”20px|5px|20px|0px|false|false” button_url_new_window=1 _builder_version=”4.9.10″ _module_preset=”default” header_level=”h3″ header_font=”|600|||||||” header_text_color=”#00a7ef” header_font_size=”21px” body_line_height=”2em” body_link_text_color=”#23ce84″ border_radii_image=”on|15px|15px|15px|15px” global_colors_info=”{}” parent_button=”off”]

Invisalign is an orthodontic system designed by Align Technology. They are custom made; clear plastic aligners are used to move your teeth into the desired position. Invisalign aligners are favoured by many patients because of its invisibility and removability.

To compare Invisalign and conventional metal braces, click here

[/dsm_card_carousel_child]
Asian lady showing off her braces in Singapore

Frequently Asked Questions (FAQs) about Straightening Teeth

Here are some commonly asked questions that our dentists at NoFrills Dental get about teeth straightening in Singapore.

Is straightening my teeth painful?

We cannot give you a definite no as an answer to this question. It really depends on multiple factors such as how you perceive pain, the type of treatment you choose to opt for (braces vs clear aligners), the extent and amount of work that needs to be done etc.

Traditional braces are more likely to cause you pain than clear aligners as the metal components exert more pressure and force onto your teeth than the plastic aligner trays. You may feel a bit of discomfort in the beginning, but it will settle as soon as the ideal tooth movements are achieved.

We have an article that educates patients about Invisalign pain and how to deal with them – read more here!

At what age should my teeth be straightened?

The American Association of Orthodontists recommends all children of the ages of 7-8 to visit an orthodontist for an orthodontic evaluation [11]. During this appointment, the orthodontist can pick up any problems with their jaw growth as well as identify any teeth that are missing, misaligned and require correction. The purpose of this appointment is so that potential problems can be picked up early and for parents to be well informed of the orthodontic treatment that their child requires.

Most orthodontic treatment will not start till all your child loses his primary teeth (approximately 12-13 years old). If you are an adult and missed out on orthodontic treatment as a child, don’t worry! There are many patients that have braces or Invisalign as adults and have achieved their ideal smiles over the course of a couple of years. There is no ‘right’ age as orthodontic treatment can take place at any stage of life, however, many dentists recommend getting it done as a teen to avoid functional complications in the long run.

If you want to find out about Invisalign for Teens, read here!

How long will straightening my teeth take?

Before committing to treatment, your dentist will be able to give you a ballpark figure of how long it will take. Invisalign treatment takes 12-18 months for simple, non-complex cases [12]. The average orthodontic treatment for traditional braces falls between 16-18 months and can take as long as 24 months for severe malocclusions.

The duration for orthodontic treatment depends on the following factors:

  • The condition of your current teeth and bite

Teeth or bites that are severely misaligned will take longer than say, correcting one crooked tooth. In addition, the distance your teeth need to shift and the amount of existing space in your mouth also plays a role in determining treatment times.

  • Oral hygiene

You will be expected to take charge of your own oral hygiene during orthodontic treatment. Dental decay, plaque traps and gum inflammation because of poor oral hygiene will only prolong treatment as these problems will need to be addressed first.

  • The type of braces you choose

Fixed appliances (metal braces) can generally move teeth faster than removable aligners (Invisalign).

To read more about Invisalign vs Braces, click here!

Which is the best orthodontic system to go about straightening my teeth?

Your dentist will be the best person to advise you on the right system to get your dream smile, depending on the amount of work that needs to be done. Every patient is different – there is not one ‘gold standard’ system that works better than another. Speak to your dentist about your concerns, and what you want to achieve by the end of this. They will create a personalized treatment plan suited to your needs and the work that is required.

metal braces in singapore

Conclusion: Teeth Straightening

The advantages of having straight teeth are endless. They are a true confidence booster, make looking after your teeth much easier, and most importantly, reduce the risk of any complications associated with your oral and general health. Don’t be shy, pop into your dental clinic today to enquire more about orthodontic treatment, your dentist will be more than willing to help you to get that smile you’ve always wanted.

NoFrills Dental Team of Professionals | Professional Team of Dentists in Singapore | Best dentists in Singapore
References
  1. Afroz S, Rathi S, Rajput G, Rahman S. Dental Esthetics and Its Impact on Psycho-Social Well-Being and Dental Self Confidence: A Campus-Based Survey of North Indian University Students. The Journal of Indian Prosthodontic Society. 2013;13(4):455-460. doi:10.1007/s13191-012-0247-1
  2. Goh A, Koo C, Chng C. Interceptive Orthodontics For The Paediatric Patient. KK Women’s and Children’s Hospital. https://www.kkh.com.sg/news/patient-care/interceptive-orthodontics-for-the-paediatric-patient. Published 2018. Accessed July 23, 2021.
  3. Malocclusion and Dental Braces. Health Hub SG. https://www.healthhub.sg/a-z/diseases-and-conditions/484/braces_sdhf. Published 2019. Accessed July 23, 2021.
  4. Problems and what to look for | Trinity House Orthodontics. Trinity House Orthodontics. https://www.trinityhouse-orthodontics.co.uk/patient-information/problems-and-what-look-for/. Accessed July 23, 2021.
  5. Invisalign. The Invisalign It Starts With A Smile National Survey. United States: Invisalign; 2016:4-11. http://www.theparkbraceclinic.co.uk/wp-content/uploads/2017/07/startswithasmilesurvey.pdf. Accessed July 27, 2021.
  6. Periodontology A. What is the difference between plaque and calculus? | Perio.org. Perio.org. https://www.perio.org/consumer/difference-between-plaque-and-calculus. Accessed July 24, 2021.
  7. Johnson NC, Sandy JR. Tooth position and speech–is there a relationship?. Angle Orthod. 1999;69(4):306-310. doi:10.1043/0003-3219(1999)069<0306:TPASIT>2.3.CO;2
  8. How Tooth and Jaw Problems Affect Speech | Angela Evanson, DDS in Parker, CO Dentist. Angela S. Evanson, DDS. Dentist in Parker, CO. https://www.evansondds.com/how-tooth-and-jaw-problems-affect-speech/. Published 2021. Accessed July 24, 2021.
  9. Schatz J, Ostini E, Hakeberg M, Kiliaridis S. Large overjet as a risk factor of traumatic dental injuries: a prospective longitudinal study. Prog Orthod. 2020;21(1). doi:10.1186/s40510-020-00341-5
  10. Ke Y, Zhu Y, Zhu M. A comparison of treatment effectiveness between clear aligner and fixed appliance therapies. BMC Oral Health. 2019;19(1). doi:10.1186/s12903-018-0695-z
  11. The First Visit. American Association of Orthodontists. https://www3.aaoinfo.org/blog/parent-s-guide-post/first-visit/. Accessed July 25, 2021.
  12. Frequently Asked Questions | Invisalign. Invisalign.com. https://www.invisalign.com/frequently-asked-questions. Accessed July 25, 2021.
Invisalign diamond Provider 2021

Are you looking to get started on your Invisalign journey?

NoFrills Dental is powered by a dedicated group of highly-experienced clinicians .

In recognition of our expertise in Invisalign treatment. We’ve been awarded the Invisalign Diamond Provider Award for the year of 2020 and 2021.

If you’ve have any questions queries about Invisalign procedure, please feel free to give us a call.

NoFrills Dental banner
NoFrills Dental Banner 2

Why should you get straight teeth?

A healthy and beautiful smile does wonders to your self-esteem and makes a huge impact on your life. Studies have shown that a person’s self-perception of their smile remarkably affects their well-being and confidence levels [1]. Your smile is one of the first things people notice about you, and first impressions really do count. The importance of straight teeth and a nice smile explains why Invisalign, braces, dental implants and veneers are one of the most popular cosmetic dental treatment options on the market right now.

In this article, we break down and explain the reasons why having a straight set of teeth is advantageous towards both your oral and general health. Then, we will share the various treatment options in which you can get your teeth straightened and finally conclude by answering a bunch of FAQs about the process of getting healthy and aligned teeth. Read on more to find out!

spacing between teeth

Classification of malocclusions

Before understanding why having a straight set of teeth will benefit you, we aim to equip everyone with the knowledge of the three main categories of malocclusions (jaw and tooth misalignments) and why they need to be corrected.

Class I Malocclusion

The most common malocclusion in Singapore is the Class I malocclusion, as seen in 48.1% of all orthodontic patients [2]. The top jaw meets the bottom jaw in the correct position but the teeth are usually crowded and not well aligned. This condition can be easily treated with orthodontic intervention at any age [3].

Class II Malocclusion

The Class II malocclusion can be classified into two types: 

  • Class II Division 1 (Overjet): where the upper incisors protrude out. Its prevalence in Singapore is around 26.3% [2].
  • Class II Division 2: where the upper incisors are retroclined and the top front teeth significantly overlap the bottom front teeth. It may also be called a deep bite, where the lower jaw is typically shorter than the upper jaw. 

 Depending on the severity of the malocclusion, children are often referred to an orthodontist for treatment as this condition carries a greater risk of trauma, aesthetic, and functional problems.

Class III Malocclusion

The Class III malocclusion is an ‘underbite’, where the lower teeth extend outward farther than the upper teeth when the jaw is closed. In cases like these, the lower jaw is larger than the upper jaw and this condition has a local prevalence of 22.4% [2].

Class III malocclusions need to be corrected to prevent more severe bite, temporomandibular joint and skeletal jaw problems in the long run. In some cases, a combination of jaw surgery and braces are required to achieve a functional bite. Surgery is often planned when patients are young adults/adults as the lower jaw stops development at this age [2] [4].

Benefits of straight teeth

The benefits of straight teeth and a healthy bite are very significant. They bring your teeth and jaws in a harmonious position with the face, improving not only your appearance but oral health and function [3]. In this section, we will talk you through the numerous health benefits of having a healthy and straight dentition.

Aesthetics and Increased Confidence

Let’s be real here – having a set of straight teeth will certainly incentivize you to want to show your pearly whites off to the world. In 2016 a survey carried out in the US by Invisalign, and Harris Poll targeted to find out why people wanted to straighten their teeth and how their lives changed once Invisalign treatment was over [5].

They recruited more than 2,000 teens and young adults over the age of 18 to take part in their study as they aimed to discover how straight teeth affect their confidence, personal well being, success in their workplace, social lives, and happiness.

The results from their findings were eye-opening – about 82% of the respondents recognized some inherent value in having straight teeth [5]. The majority felt that straighter teeth would positively impact their confidence. More importantly, amongst those who had orthodontic treatment growing up, almost all participants said that straight teeth were crucial to their confidence [5].

Greater confidence levels allow you to experience freedom from insecurity and boost your self-esteem. Whilst having straight teeth alone may not be the sole reason for your increase in confidence levels, 92% of respondents felt that they were much more confident after having their teeth corrected with braces or Invisalign. In addition, 83% agreed that their ‘new smile’ brought about improvements to their well-being and 76% felt that they experienced success in the workplace and reaped the overall health benefits [5].

The society we live in today places a huge emphasis on how we are perceived by others based on our outward appearance. Your teeth are one of the most impressionable physical attributes and a well-aligned smile brings about confidence like no other. It can have the capacity to make you happier by leaps and bounds – you will never know unless you experience it for yourself!

Improved Oral Hygiene

Have you ever noticed that one crooked tooth in your mouth keeps trapping food time and time again? This often happens if you have teeth that overlap and bits of food find their way through the tiny spaces between your teeth.

Misaligned teeth can often be a challenge for patients to maintain good oral hygiene. These areas can be hard to reach with your toothbrush and much more difficult to pass dental floss or an interdental brush through to clean effectively. Over time, it serves as a plaque trap and can lead to dental caries if not maintained properly.

Your dentist will aim to point these teeth out to you as early as possible to prevent the prognosis of the crooked teeth from becoming worse as the years go by. They will offer a variety of different solutions to get these teeth into alignment so that you can look after them without having to worry about food traps and the risk of dental decay in the long run.

Prevention of Gum Disease

As mentioned briefly in the previous paragraphs, crooked teeth act as a plaque trap and can be a challenge for patients to keep clean. As time progresses, plaque mixes with the calcium and phosphate ions in our saliva, mineralizes and hardens to form a solid mass of bacteria called calculus [6].

Bacteria thrive in both plaque and calculus deposits, secreting acids that cause tooth decay and gum irritation [6]. This irritation leads to an inflammatory reaction within our body causing gingivitis. Gingivitis is a mild version of gum disease characterized by tender, red and inflamed gums that bleed when probed with dental instruments.

If not detected and treated effectively, gingivitis can progress into periodontal disease or periodontitis. This condition causes the gums to shrink and the jawbone to recede. A destroyed jawbone compromises tooth anchorage in its socket, and in extreme cases can lead to tooth loss.

Additionally, tilted teeth are often poorly supported as they have thin bone and gums, making them more prone to gingival recession. There is currently no treatment for gum recession, but good oral hygiene can prevent it from getting worse.

Identifying potential problems and reinforcing the importance of straightening your teeth early is key to preventing detrimental issues to your gums in the long run.

Reduction in the Risk of Jaw Problems

Severe tooth misalignments can cause problems when you chew and speak. One of the main negative consequences of malocclusion is the unequal distribution of load on teeth. There may be certain teeth that take on more biting and chewing forces than others causing premature tooth wear and soreness in the jaw muscles. The long-term consequences of not fixing an incorrect bite and tilted teeth are cracked tooth syndrome, severe jaw strain and orofacial pain.

Orthodontic treatment is strongly indicated in these cases to redistribute the biting forces amongst every tooth for an even occlusion.

Improves speech

Your teeth, lips, and tongue play a mammoth role in articulating words by modifying and obstructing the flow of air into and out of our mouths. Dentists from the University of Bristol carried out a study examining the relationship between tooth position and speech [7].

They found out that the participants with a malocclusion had more difficulties with dental sounds than those with a normal bite [7]. Those with an overjet (Class II division I malocclusion) had mild distortions with the production of “s” sounds and participants with a Class III malocclusion were unable to produce sibilant sounds (words like zip, sip, ship etc) effectively as their tongue posture typically hangs low and loose in the mouth [7].

Missing, crooked and gapped teeth change the placement of your tongue relative to your lips and teeth during the production of sound. This causes excess air to pass through your teeth creating a slight whistle every time you speak [8].

Reduced Risk of Trauma

Dental trauma mostly affects your upper front teeth, causing damage to your smile, confidence, and the ability to speak and chew your food. Studies show that overjet (Class II Division I malocclusion) is the most significant risk factor for traumatic dental injuries as there is no adequate lip coverage to protect the protruded front teeth [9].

Children with an increased overjet of 6mm are at a higher risk of suffering from tooth trauma following a traumatic injury, and thus will require early orthodontic correction to reduce this overjet.

Asian lady showing off her braces in Singapore

Ways to straighten teeth

Evidence suggests that the safest and most effective way to straighten misaligned teeth is to opt for fixed traditional braces or Invisalign aligners [10]. Invisalign has developed greatly over the years and has been growing in popularity because of its superior comfort and aesthetics.

Here is an overview of the main treatments your orthodontist can provide to fix your malocclusion:

Conventional Metal Braces

Also known as the ‘train-track braces’, metal braces are attached to each tooth using composite resin (tooth coloured filling material) and tied together by rubber elastic nodules and an archwire made of medical-grade stainless steel.

This form of braces is the most commonly used form as it has the ability to treat almost all types of malocclusion while being the most cost-effective option. Treatment times vary and last from 18 months to 2 years depending on the severity of your orthodontic problem.

Ceramic Braces

Ceramic braces are fixed brace appliances made of tooth coloured ceramic, sapphire, and composite resin material. Ceramic braces are a more aesthetic alternative and are as effective in performing three-dimensional tooth movements as conventional metal braces. Functionally, metal braces and ceramic braces are very similar with the main difference being the materials used.

Self-ligating braces

Self-ligating braces have their own integrated self-locking system which eliminates the need of having rubber elastic nodules on each individual bracket. These braces are considered advantageous over the conventional metal ones as it reduces appliance discolouration as elastic nodules are not used to hold the brackets and archwire together.

Invisalign

Invisalign is an orthodontic system designed by Align Technology. They are custom made; clear plastic aligners are used to move your teeth into the desired position. Invisalign aligners are favoured by many patients because of its invisibility and removability.

To compare Invisalign and conventional metal braces, click here

Braces treatment in Singapore

FAQs about straightening teeth

Here are some commonly asked questions that our dentists at NoFrills Dental get about teeth straightening in Singapore.

Is straightening my teeth painful?

We cannot give you a definite no as an answer to this question. It really depends on multiple factors such as how you perceive pain, the type of treatment you choose to opt for (braces vs clear aligners), the extent and amount of work that needs to be done etc.

Traditional braces are more likely to cause you pain than clear aligners as the metal components exert more pressure and force onto your teeth than the plastic aligner trays. You may feel a bit of discomfort in the beginning, but it will settle as soon as the ideal tooth movements are achieved.

We have an article that educates patients about Invisalign pain and how to deal with them – read more here!

At what age should my teeth be straightened?

The American Association of Orthodontists recommends all children of the ages of 7-8 to visit an orthodontist for an orthodontic evaluation [11]. During this appointment, the orthodontist can pick up any problems with their jaw growth as well as identify any teeth that are missing, misaligned and require correction. The purpose of this appointment is so that potential problems can be picked up early and for parents to be well informed of the orthodontic treatment that their child requires.

Most orthodontic treatment will not start till all your child loses his primary teeth (approximately 12-13 years old). If you are an adult and missed out on orthodontic treatment as a child, don’t worry! There are many patients that have braces or Invisalign as adults and have achieved their ideal smiles over the course of a couple of years. There is no ‘right’ age as orthodontic treatment can take place at any stage of life, however, many dentists recommend getting it done as a teen to avoid functional complications in the long run.

If you want to find out about Invisalign for Teens, read here!

How long will straightening my teeth take?

Before committing to treatment, your dentist will be able to give you a ballpark figure of how long it will take. Invisalign treatment takes 12-18 months for simple, non-complex cases [12]. The average orthodontic treatment for traditional braces falls between 16-18 months and can take as long as 24 months for severe malocclusions.

The duration for orthodontic treatment depends on the following factors:

  • The condition of your current teeth and bite

Teeth or bites that are severely misaligned will take longer than say, correcting one crooked tooth. In addition, the distance your teeth need to shift and the amount of existing space in your mouth also plays a role in determining treatment times.

  • Oral hygiene

You will be expected to take charge of your own oral hygiene during orthodontic treatment. Dental decay, plaque traps and gum inflammation because of poor oral hygiene will only prolong treatment as these problems will need to be addressed first.

  • The type of braces you choose

Fixed appliances (metal braces) can generally move teeth faster than removable aligners (Invisalign).

To read more about Invisalign vs Braces, click here!

Which is the best orthodontic system to go about straightening my teeth?

Your dentist will be the best person to advise you on the right system to get your dream smile, depending on the amount of work that needs to be done. Every patient is different – there is not one ‘gold standard’ system that works better than another. Speak to your dentist about your concerns, and what you want to achieve by the end of this. They will create a personalized treatment plan suited to your needs and the work that is required.

metal braces in singapore

Conclusion: Teeth Straightening

The advantages of having straight teeth are endless. They are a true confidence booster, make looking after your teeth much easier, and most importantly, reduce the risk of any complications associated with your oral and general health. Don’t be shy, pop into your dental clinic today to enquire more about orthodontic treatment, your dentist will be more than willing to help you to get that smile you’ve always wanted.

NoFrills Dental Team of Professionals | Professional Team of Dentists in Singapore | Best dentists in Singapore

Looking to get started on your brand new & improved smile? Speak to our dentists today!

Our team of experienced dentists are fully dedicated to providing patients with high-quality and affordable dental care. Our dentists are well-versed in the cosmetic dentistry, and highly adept in producing highly aesthetic and long lasting results for all of our patients.

Invisalign Guidebook 2021

Looking to learn more about Invisalign in Singapore?

Download a copy of the Invisalign Guidebook 2021.

Schedule an appointment

We’ll get back to you within 24 hours.

Our Dental Clinics

We are conveniently located at these locations:

NoFrills Dental @ Suntec City

3 Temasek Boulevard
Suntec City (North Wing)
#03-317
Singapore 038983

T: +65 6337 7319
E: suntec@https://testsite.nofrillsdental.com/.sg

NoFrills Dental @ Marina Square

6 Raffles Boulevard,
Marina Square,
#B1-11
Singapore 039594

T: +65 6227 8885
E: marinasquare@https://testsite.nofrillsdental.com/.sg

Related Posts