Avoiding common problems with dental bridges
Here’s some things to avoid when you’ve got dental bridges.

Written by NoFrills Dental
This dental article has been curated by the clinical team @ NoFrills Dental 🙂
October 7, 2021
Introduction: Dental Bridges
A dental bridge is a fixed dental restoration or prosthesis used to fill up a space left by a lost tooth or teeth by joining an artificial tooth definitively to your adjacent natural teeth.
Dental bridges have a plethora of functions, it can help to restore a natural looking smile and your ability to chew effectively, assist in maintaining a natural facial structure and appearance. They can last for as long as 15 years if cared for properly.
As with all dental appliances, they come with a finite lifespan and will need to be replaced after a few years. In this article, we outline the most common issues that can develop if you fail to look after your dental bridge and the steps you can take to mitigate these problems.

What are the different types of dental bridges designs?

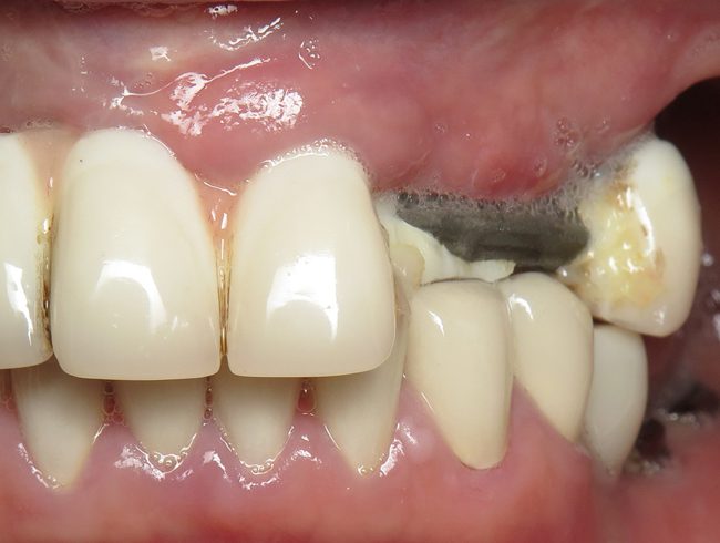
Conventional Bridges
They are appliances used to replace one or more teeth that cannot be removed by the patient. Conventional bridges are normally indicated when the teeth adjacent to the missing space have extensive fillings on them. Crowns are used to support these types of bridges. This means that your dentist has to prepare and drill around the circumference of a tooth/some teeth to secure a bridge.
In the picture above, the two teeth next to the missing space are prepared for crowns and they are used to support the bridge. If the adjacent teeth have crowns already, this option may be good for you. The dental bridge relies on the conical tapered shape to secure them and provide the teeth with maximum retention. It is then cemented securely onto the tooth with a dental cement.

Adhesive Bridges
Adhesive bridges are attached to the surface of minimally prepared (or unprepared) natural teeth and therefore occupy more space than the original dentition [1]. The bridge has wings on either side of the false tooth and these are bonded onto the back surfaces of the adjacent teeth.
They are a lot more conservative and require little to no tooth preparation. However, these can be used only in certain circumstances (i.e. a sound, healthy tooth with no gum disease).
What are the common problems with dental bridges?
Bridges are custom-made devices that are used in our mouths. They survive in hostile biological environments intra-orally and are exposed to saliva, bacteria, food and debris, making failure more liable to occurring.
The most common reasons for failures of bridges are:
- Loss of retention,
- Mechanical failures (fracture of the bridge casting) and,
- Problems with teeth supporting the bridge (secondary dental decay, periodontal disease and the loss of vitality of the tooth).

Loss of Retention of Bridge
Is your dental bridge becoming loose? Does it wobble about when you’re biting on something hard? The best way to carry out a self-examination of a loose bridge is to stand in front of a mirror and press your bridge up and down using gentle force. If there are small bubbles at the margin of the gums where the bridge is, or if it is giving you the slightest bit of discomfort, don’t suffer in silence. Get in touch with your dentist and arrange an appointment to see them as soon as possible.
Possible causes of the loss of retention of your bridge are:
- Inadequate tooth preparation for the bridge,
- The bridge retainer becoming loose from the supporting tooth,
- Dental decay developing rapidly underneath the supporting tooth of the bridge, compromising tooth structure,
- Inadequate cementation of the bridge (tooth was not dried and isolated properly before cementing, cement was not fixed properly, not removing any cement remnants that interferes with retention).

Mechanical Failures
The most common cause of mechanical failure of a dental bridge are fractures. Stress is most likely to develop within the porcelain bridge due to trauma. If the restoration has served successfully for some time, it should be replaced by another porcelain restoration. However, if this failure occurs due to normal function, your dentist should consider replacing the material to a metal-ceramic bridge.
Problems with teeth supporting the bridge.

Secondary Dental Caries
Secondary (or recurrent) dental caries refers to a carious lesion associated with restorations (fillings) or sealants. The main culprit that causes decay underneath crowns is plaque and bacteria.
After the consumption of food, debris that is left on the tooth becomes a reservoir for harmful bacteria. Bacteria metabolizes the food in our teeth and converts them to acid which attacks and damages the enamel. Decay starts at the edges of natural tooth under the crown and progresses very quickly towards dentine.
Your dentist can spot decay underneath your bridge through an X-ray. If the decay is extensive, the bridge will need to be taken apart using high speed rotary instruments to access and remove all the decay. Deep carious lesions can lead to severe destruction of hard tissues and loss of even more tooth structure.

Periodontal Disease
The junction between the bridge and gums are a common place for the accumulation of plaque. This can induce inflammation around the gums as well as adjacent tissues. Signs of gingivitis include red and puffy gums that bleed on brushing. Untreated gingivitis can progress on to periodontitis (gum disease), which can lead to receding gums, jawbone shrinkage and eventually, tooth loss.
If the loss of your periodontal (gum) attachment is diagnosed early enough, and the cause removed, no further treatment is needed. However, if the extent of the disease has progressed to a point where the prognosis of the tooth is significantly reduced, the tooth itself may have to be removed.

Loss of vitality of the tooth
The pulp is the nerve of the tooth and great care is needed to protect this structure so that the tooth does not lose its vitality. The main causes of pulp injuries are:
● Secondary dental caries,
● An excessive amount of heat generated by the dental handpieces during the procedure when drilling,
● Chemical irritation from various dental cements,
● Microorganisms and bacteria,
● Trauma.
How to avoid problems with my dental bridge?
Taking care of your dental bridge is very similar to looking after the rest of your teeth in your mouth.
Here are some simple care tips to get the best wear out of your bridge:
- Practice good oral hygiene by brushing and flossing twice a day,
- Ask your dentist to demonstrate how to floss under your ‘false tooth’ of the bridge by using superfloss or other interdental cleaning aids,
- Schedule regular six-monthly checkups and cleans to make sure that your bridge and whole mouth are intact (regular X-rays),
- Wear a nightguard if you are a clencher or grinder to prevent wearing down your teeth and fracturing the porcelain of your bridge,
- Avoid particularly hard or sticky foods which can risk damaging the bridge,
- Arrange an appointment with your dentist as soon as you can if you notice something untoward with your bite or bridge

Conclusion
Dental bridges are one of the best treatment options to replace missing teeth and restore your smile. Problems with your prosthesis generally arise when you don’t take good care of them and neglect keeping up with your regular oral hygiene routine. We hope this article gives you a better idea on what can go wrong with these prostheses and how you can go about looking after them so that you can retain them for as long as possible.
References
- Ricketts D, Bartlett D. Advanced Operative Dentistry. Edinburgh: Churchill Livingstone/Elsevier; 2012.
- All you need to know about dental bridges. Gentledentalcaregroup.co.uk. https://www.gentledentalcaregroup.co.uk/blog/all-you-need-to-know-about-dental-bridges. Published 2019. Accessed September 23, 2021.
- Mitchell D, Mitchell L. Oxford Handbook Of Clinical Dentistry. 7th ed. Oxford: Oxford University Press; 1996.
- Goodacre C, Bernal G, Rungcharassaeng K, Kan J. Clinical complications in fixed prosthodontics. J Prosthet Dent. 2003;90(1):31-41. doi:10.1016/s0022-3913(03)00214-2
- Dental decay. Oral Health Foundation. https://www.dentalhealth.org/dental-decay. Accessed September 4, 2021.
- How To Avoid Dental Bridge Problems. Colgate.com. https://www.colgate.com/en-us/oral-health/bridges-and-crowns/dental-bridge-problems-how-to-avoid. Accessed September 23, 2021.

“
Looking to get started on your brand new & improved smile? Speak to our dentists today!
Our team of experienced dentists are fully dedicated to providing patients with high-quality and affordable dental care. Our dentists are well-versed in the cosmetic dentistry, and highly adept in producing highly aesthetic and long lasting results for all of our patients.
Schedule an appointment
We’ll get back to you within 24 hours.
Our Dental Clinics
We are conveniently located at these locations:
NoFrills Dental @ Suntec City
3 Temasek Boulevard
Suntec City (North Wing)
#03-317
Singapore 038983
T: +65 6337 7319
E: suntec@https://testsite.nofrillsdental.com/.sg
NoFrills Dental @ Marina Square
6 Raffles Boulevard,
Marina Square,
#B1-11
Singapore 039594
T: +65 6227 8885
E: marinasquare@https://testsite.nofrillsdental.com/.sg
Related Posts

Effective ways to clean your Invisalign Aligners
The advanced technology of Invisalign aligners has made them a hugely popular alternative to braces for straightening teeth, among teens and adults alike.
These clear plastic appliances are more comfortable and virtually unnoticeable in the mouth, and have the further a…

How to Clean Retainers: For Removable and Permanent Retainers
Retainers sit inside of your mouth and come into direct contact with your teeth. Bacteria, plaque and tartar can quickly accumulate inside of your retainers if they’re not cleaned properly and regularly. Just like your regular teeth, it’s important to clean your ret…

ClearCorrect vs Invisalign
In this article, we compare two popular clear aligner companies: Invisalign and ClearCorrect. They are two of the most renown in-office clear aligner companies that boast a strong track record of results. Both sets of aligners aim to straighten misaligned teeth and corr…
